아핫뉴스실시간 인기검색어
아핫뉴스 화산 이미지
화산 아이콘 11
비트코인 ETF 수익률 하락
아하

의료상담

치과

놀라운기러기300
놀라운기러기300

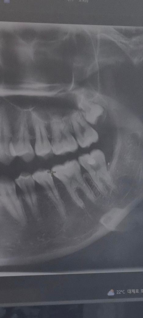
[사진첨부] 이 사랑니 뽑을 수 있는건가요?

제목 그대로입니다.

사진은 지난 5월달에 치과 내원 했을 당시에 촬영한 엑스레이 사진입니다.

지금 뽑으면.턱이 아플 수 있다고 하시는데..

정말일까요? 제 생각엔 얘 때문에 턱이 아픈거 같아요.

맹출통인지..뭔지;;

*이 좌측 상악동 사랑니가 위치한 잇몸이 굉장히 아플 때가 있고, 거의 항상 부은 느낌이 있습니다.

*실제로 저작 활동 시 아직 부어있는 잇몸이 같이 씹히는 경우가 많아요.

*거의 2년 전부터 좌측 턱관절쪽 교근이 아프기도 했고 상악치열도 우측으로 돌아간거같은 느낌이 듭니다. (오픈바이트도 생김)

*턱관절 질환인가? 하고 구강내과 내원해보면

촉진, 엑스레이 등등 관절 이상 없다고 하고 돌려보냅니다.(금년도 3월달에 내원한 유명 구강내과 원장님도 이상 없다고 하셨어요.)

*턱소리랑 저작 활동 시 통증은 뭐..거의 없어요. 개구도 잘 됩니다.

이런 증상들도 상악동 사랑니 때문에 일어날 수 있나요? 그리고 아무리 늦게 맹출되는 이라고 해도 2년 동안 이럴 수가 있나요? 진짜 열받네요.

언제쯤 뽑을 수 있을까요? ..

  • 1번 째 사진
5개의 답변이 있어요!
  • 사랑니로 인해서 불편감이 생길 수도 있습니다. 일반 치과에서는 빼기힘들지만 대학병원 가시면 지금 상태에서도 아마도 뽑아줄 것으로 보입니다.

  • 일단은 말씀하신 증상은 단순히 사랑니로 인하여 나타나는 것은 아닙니다. 100% 연관이 없지는 않겠지만 말씀하시는 증상은 사랑니가 아닌 가지고 계신 턱관절 질환으로 인하여 불편감이 나타날 가능성이 큽니다. 턱관절이 불편하면 말씀하신 상악 쪽 사랑니 부위의 통증이라도 의심할 수도 있습니다.

    아무쪼록 저의 답변이 문제 해결에 작게 나마 도움이 될 수 있기를 기원드립니다. 항상 건강하고, 행복하세요^^

    정진석 치과의사 드림

  • 안녕하세요 치과의사 김철진입니다. 사랑니에 염증이 잇으면 턱관절까지 통증이 잇는경우가 있습니다. 많이 불편하시면 발치를 하시는게 좋을것같습니다.

  • 아직 20대 초반이라면 사랑니가 조금 더 내려올 여지는 있습니다. 현재 발치를 하고자 한다면 잇몸째고 매복 사랑니에 준해 발치를 하게 되고, 상악동과 가까워 발치 중 상악동 천공의 가능성도 있습니다. 턱 통증과는 큰 연관이 있을지는 모르겠습니다. 발치 중 너무 오래 턱을 벌리고 있다보면 턱이 아플 순 있습니다.

  • 사진에 보이는 사랑이는 매복되어 있고 크게 문제를 발생시키지 않기 때문에 불편감이 생길 가능성은 매우 낮습니다 턱이 불편하다면 사랑니 때문이 아니라 턱관절 질환으로 인해서 불편할 가능성이 높습니다 턱관절 질환을 치료하기 위해서는 체코에서 진료를 받아 보는 것이 좋을 수 있습니다 자세한 확인을 위해서 치과에서 진료를 받아 보세요