아하
  • 토픽

  • 스파링

  • 잉크

  • 미션


의료상담

고혹적인귀뚜라미137

고혹적인귀뚜라미137

24.02.08

신경치료 1차 진행 후 통증 및 잇몸 부음 증상 질문 드려요?

화요일 신경치료 1차 하였습니다

치아 크랙이 있어보인다고 하셨는데 뿌리까지 진행된지는 확인이 어렵다고 하시며 발치보다는 일단 신경치료 추천하셔서 1차 한 상태입니다

1차 치료후 통증이 계속 있었습니다

통증은 발생 가능하다고 하여 받은 약과 타이레놀로 버티고 있었습니다

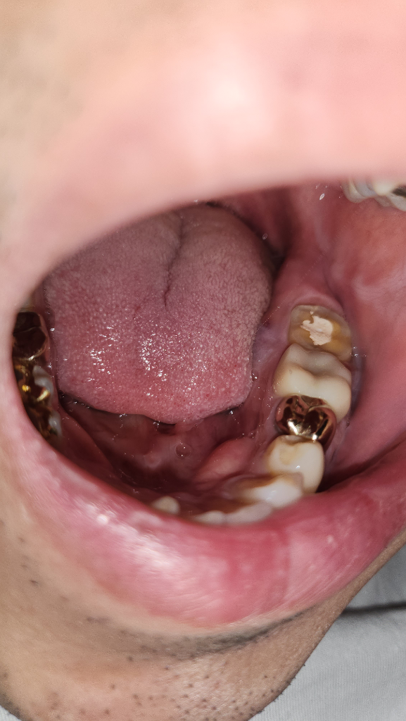
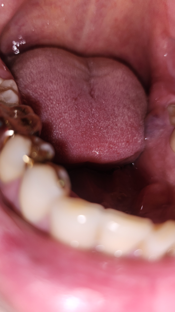
그런데 오늘 새벽 통증으로 약을 먹어도 잠이 들지 않아 밤을 지새우는데 갑자기 치료 치아 옆으로 잇몸 부음 증상이 생겼습니다

바깥쪽 볼은 손바닥을 대었을때 부은 느낌이 들고 치아 옆쪽 부분은 사진처럼 부음 증상이 생겼습니다

걱정되어 글들을 찾아보니

1. 염증이 새어나와서 그럴수 있다

2. 크랙이 깊어서 염증이 새어나온건가?

3. 염증이 잇몸으로 가서 고름처럼 생긴건가?

다양한 생각이 드네요


일단 치과를 바로 내원하려고 합니다만 어떤 상황일까요?


그리고 설이라 지금 다니던 치과는 다음주 화요일에 가야합니다. 환장하겠네요

그래서 일단 잇몸 상태에 관련해서는 다른치과를 방문해서 상담을 받고 약을 받는 것은 상관 없을까요??





  • 1번 째 사진
  • 2번 째 사진

2개의 답변이 있어요!

  • 김철진 치과의사

    김철진 치과의사

    가까운우리치과

    24.02.09

    안녕하세요. 김철진 치과의사입니다.

    신경치료를 하고 나서 통증이 잇는경우는 치아가 대합되는 치아과 교합이 되거나 소독약이 뿌리끝으로 넘어가서 그럴수도 잇으니 치과에 가셔서 확인을 해보시는게 좋을것같습니다.

  • 안녕하세요. 안상우 치과의사입니다.

    신경치료를 하고 나면 신경치료를 한 부위로 조직이 자극이 되어 부울수 있습니다.

    신경치료한 부위가 부었다면 치과에서 진료를 받아 내부를 소독해 주는것이 좋지만 치과를 갈 상황이 아니라면 진통제를 복용하면 증상을 줄일수 있습니다.

    통증이 너무 심하다면 응급실에서 처치를 받는것이 좋을수도 있어요.