아핫뉴스실시간 인기검색어
아핫뉴스 화산 이미지
화산 아이콘 11
정부, 부동산 공급 논의
아하

의료상담

이비인후과

아픈고양이7
아픈고양이7

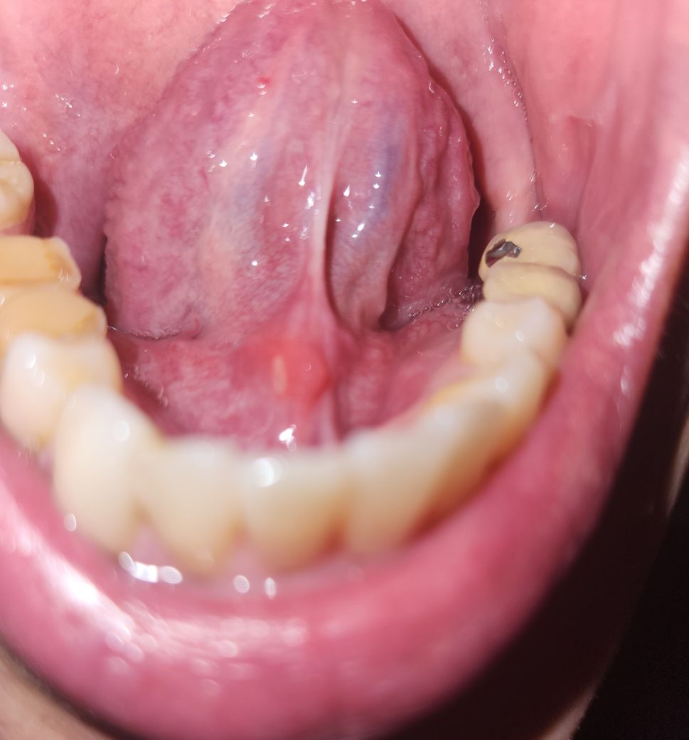
혀밑에 혹이 생겼는데 무슨 질환일까요~?

성별
남성
나이대
30

혀밑이 따갑길래 구내염이 생겼나 했습니다.

근데 혀밑을보니 혀밑에 혹과 구내염이 생겼는데 무슨 질환일까요~?

큰병일수도 있는지 여쭈어봅니다

  • 1번 째 사진
  • 2번 째 사진
2개의 답변이 있어요!
  • 안녕하세요. 신성현 의사입니다.

    일시적인 염증으로 미란성 병변이 생겼을 가능성이 높습니다. 증상이 지속된다면 이비인후과 진료를 받아보시기 바랍니다.

  • 안녕하세요. 이영민 의사입니다.

    갑자기 생긴 혹이라면 구내염의 일환으로 발생했을 가능성이 있으므로 충분한 휴식을 취하면서 구내염약을 사용해 보실 것을 권유드립니다. 만일 병변이 점차 커진다면 염증이 악화되는 소견일 수 있으므로 치과에서 진료가 필요하실 수 있겠습니다.

    감사합니다.