아핫뉴스실시간 인기검색어
아핫뉴스 화산 이미지
화산 아이콘 11
스트래티지 비트코인 매입 중단
많이 본
아하

의료상담

치과

클래식한독수리104
클래식한독수리104

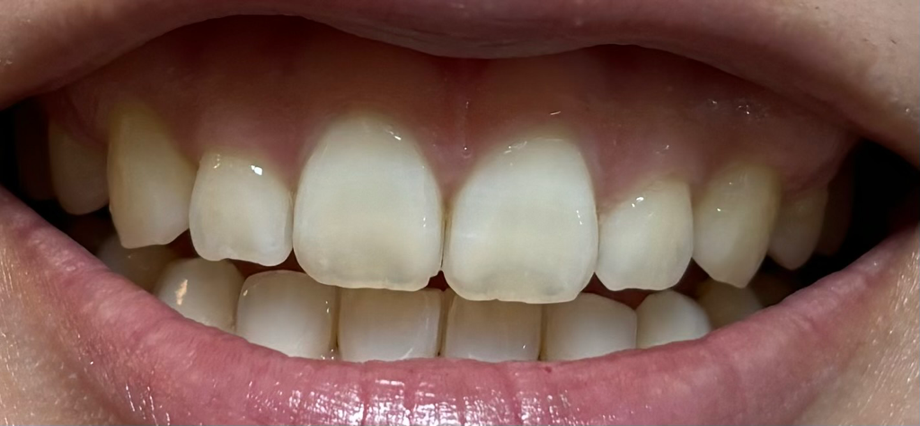
치아 표면에 흰색 부분들이 보여요





치아에 흰색 가로줄이 있는 것처럼 보이는데

왜 그런건가요? 하얀 충치같은 건가요?

치과에 가봐야 하겠죠?

치료법은 어떤 게 있나요? ㅜㅜ

  • 1번 째 사진
  • 2번 째 사진
4개의 답변이 있어요!
  • 안녕하세요. 김지훈 치과의사입니다.

    법랑질은 원래 투명한 층이며 자세히 보면 모든 사람이 똑같이 그렇게 생겼습니다. 그냥 지내시면 됩니다.

  • 안녕하세요. 김철진 치과의사입니다.

    치아들이 부식된거 같습니다. 탄산음료등을 자주 마시면 그럴수 있습니다. 일단 치과에 가셔서 검진을 받아보세요.

  • 안녕하세요. 최석민 치과의사입니다.

    초기충치, 반점치의 양상입니다 꼭 치료가 필요하진 않은 상태로 여겨지나 치과에서 검진을 한번 받아보시면 좋을 것 같습니다

  • 안녕하세요. 송우식 치과의사입니다.

    치아에 반점치가 발생한것으로 보이며, 흰색치아일 가능성이 있습니다. 심미적으로 신경이 쓰인 경우레진으로 해당부위를 가리는 치료가 가능하며, 보다 정확한 상태 확인후 치료를 위해 치과 진료를 받길 권합니다.

    궁금증 해소에 도움이 되시길 바라며, 도움이 되신 경우 '추천' 부탁드립니다.