아핫뉴스실시간 인기검색어
아핫뉴스 화산 이미지
화산 아이콘 11
윤석열 징역 5년 확정
많이 본
아하

의료상담

정형외과

정중한거미220
정중한거미220

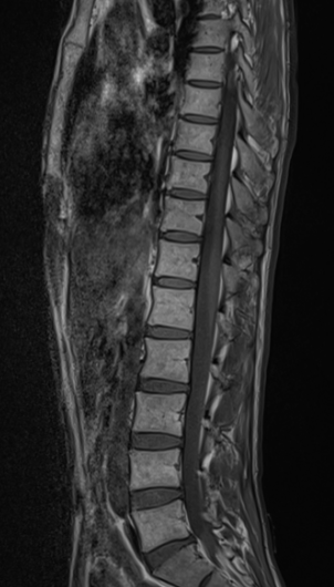
이런건 척추뼈에 금이 간건가요?

성별
남성
나이대
33







척추 mri를 찍어서 봤는데 저런식으로 홈이나 금간것저럼 보이는게 있는데 저건 뭔가요???


뼈에 금이 간게 아니라면 뭔지 궁금합니다



  • 1번 째 사진
  • 2번 째 사진
  • 3번 째 사진
  • 4번 째 사진
  • 5번 째 사진
  • 6번 째 사진
1개의 답변이 있어요!
  • 안녕하세요. 남희성 의사입니다.

    이런 경우에 골절이 아닌지 오해하시는 경우가 많은데 골절이 아닙니다.

    골절의 경우에는 T1 영상에서 조영이 떨어지고 fat suppression T2 영상에서 조영이 증가하는 소견을 확인해야합니다.

    골절이 아니면 왜 저렇게 보이는지 까지는 제가 잘 모르지만 저 소견을 이상소견으로 보이는 않습니다.