의료상담

2주 가까이 앞니가 조이는 듯한 통증이 지속되고 있습니다

안녕하세요.. 문제가 해결이 안 되어 계속 올리게 되는 것 같습니다 ㅜㅜ

처음에는 앞니 아랫니 잇몸 안쪽이 욱씬거려서 치과에 갔고, 잇몸 염증일 수도 있다는 소견을 받아 스케일링을 했습니다.

이후에도 일주일 정도 지속되어 다시 엑스레이를 찍어봤고, 신경 상의 문제는 없는 것 같다고 하셨습니다. 교합의 문제일 수 있다고 하셔서 교정 치과에도 다녀왔으나 (앞니 아랫니에 부착식 유지장치를 착용중입니다) 문제가 없다고 하셨습니다.

어느 순간부터는 잇몸보다는 이 자체가 아픈 느낌입니다. 이 사이에 치실이 낀 것 같이 쪼이는 불편감이 하루 종일 지속됩니다. 특정 치아인지는 잘 분간이 안 가고 앞니 치아4개, 가끔은 송곳니쪽까지 아픕니다.. 오전엔 통증이 덜한 편이고 자려고 누웠을 때 가장 심한 것 같습니다.

원인이 대체 뭘까요?

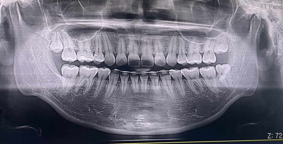
밥 먹을 땐 통증이 없어 다행이지만 이유를 모르겠어서 답답합니다..... ㅜㅜ 혹시 몰라 엑스레이 첨부합니다,,

찬 음식이나 뜨거운 음식에는 큰 불편감 없고, 이를 눌러봤을 때 통증은 없습니다.

  • 1번 째 사진

1개의 답변이 있어요!

  • 안녕하세요. 김철진 치과의사입니다.

    잠을잘떄 통증이 더 심하다면 치수염일 가능성이 높습니다. 계속 불편하시면 신경치료를 하셔야될수도 잇을것같습니다.