의료상담
55글자 더 채워주세요.
5개의 답변이 있어요!
안녕하세요. 김철진 치과의사입니다.
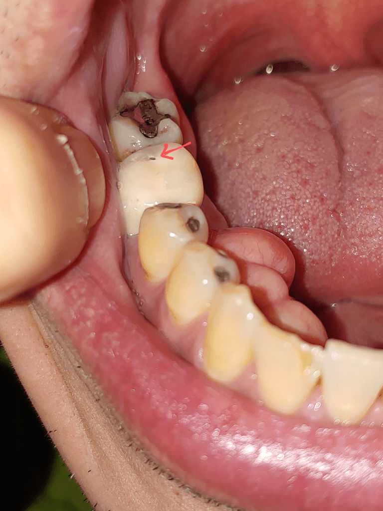
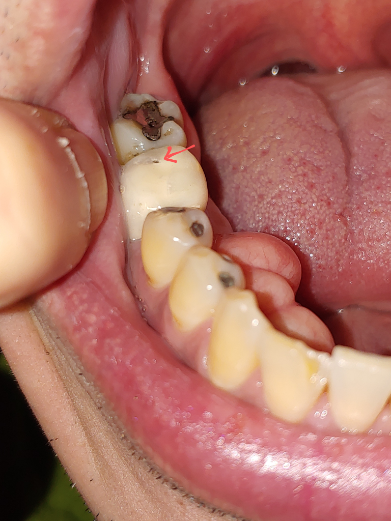
임시치아는 말그대로 임시로 사용하는 거기 떄문에 구멍이 뚤려도 크게 상관 없습니다. 걱정하지 않으셔도 됩니다.
안녕하세요. 김지훈 치과의사입니다.
임시치아 이므로 전혀 아무 상관 없습니다. 최종 보철물이 나오기 전까지 잘 쓰시면 됩니다.
안녕하세요. 송우식 치과의사입니다.
신경치료 중인치아의 임시치아에 미세한 구멍이 난 것은 크게 문제가 되는 부분은 아니며, 임시치아는 치료가 끝날때에는 제거하게 되기에 걱정하지 않아도 됩니다.
궁금증 해소에 도움이 되시길 바라며, 도움이 되신 경우 '추천' 부탁드립니다.
안녕하세요. 안상우 치과의사입니다.
임시 치아에는 임시 차를 만들다 미세하게 구멍이 날 수 있습니다 임시치아에 구멍이 나 있게 되면 임시치아의 강도가 약해지기 때문에 너무 딱딱한 음식을 먹는 것이 좋지 않습니다.
나중에 원래 보철물 제작하게 되면 해당되는 구멍은 없어지기 때문에 크게 문제가 되지 않습니다.
안녕하세요. 최석민 치과의사입니다.
아주 작은 구멍이기 때문에 특별히 문제가 되진 않습니다. 해당 부위로 음식물이 끼거나 한다면 제때 빼주면 됩니다. 불안하시다면 임시치아를 빼서 해당 부위에 재료를 조금 덧대는 방식으로 보강하거나 해당부위가 위 치아와 닿지 않도록 좀 더 높이를 낮게 조절하는 방식으로 보완할 수도 있습니다

