의료상담
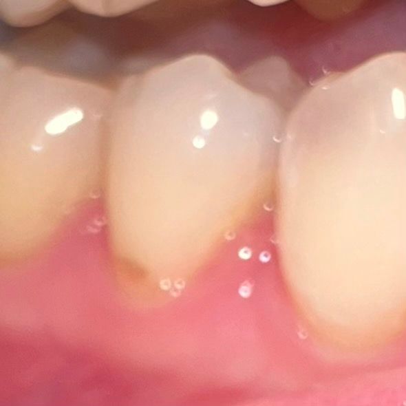
갑자기 못 보던 치아 마모가 생겼습니다. 양치질 잘못일까요, 충치일까요?
요즘 양치질을 조금 세게 하긴 했는데… 양치질로 인해서 떨어져나간 걸까요? 혹은 충치일까요? 만져서 크게 시리거나 욱씬대지는 않습니다.55글자 더 채워주세요.
5개의 답변이 있어요!
안녕하세요. 김지훈 치과의사입니다.
갑자기 못 보던 치아 마모가 생겼습니다. 양치질 잘못일까요, 충치일까요?
-> 식습관 혹은 양치질이 원인입니다.안녕하세요. 김철진 치과의사입니다.
양치를 강하게 하거나 평상시에 단단한 음식을 좋아 하셔서 그런거 같습니다. 추후 시리면 떼우는 치료를 하시는게 좋을것같습니다.
안녕하세요. 안상우 치과의사입니다.
사진으로 봤을 경우에는 이전에 충전을 해놓은 충전재가 떨어진 것으로 보입니다. 따라서 치과에서 해당 부위를 간단하게 충전을 해줄 수 있습니다.
자세한 확인을 위해서 치과에서 진료를 받아보는 것을 권유드립니다.
안녕하세요. 최석민 치과의사입니다.
충치보다는 마모, 부식의 양상입니다 양치질습관, 식습관 등이 영향을 미친 것 같습니다.
안녕하세요. 송우식 치과의사입니다.
치아 옆면 잇몸 경계부에 생긴 마모 즉 치경부 마모증입니다. 치경부 마모는 치솔질을 옆으로 문질러서 생긴 것입니다. 치아옆면 닦을 때는 상하 위아래로 해야 합니다.

