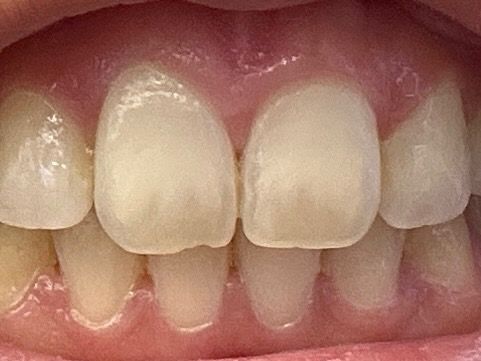
안녕하세요. 앞니 잇몸 퇴축일까요?
교정 끝난지는 4-5년? 정도 됐고 안쪽에 유지장치 붙어있습니다
나이는 29살입니다
유지장치를 보통 붙이는 곳에 붙였더니 계속 철사가 끊어져서 당시에 의사선생님이 남들보다 좀 위쪽에 붙여야할거같다고 하셨어요
잇몸에 가까워서 그런지 치석이 좀 더 잘 끼는 거 같기는 합니다
치간칫솔 사용중이긴한데 윗니이고 유지장치 때문에 깔끔하게는 안되는거 같습니다 ㅠ 잘 되는지 제 눈으로 확인하기도 어렵고요..
검색해보니까 심하게 퇴축된거면 시리거나 하다는데 그렇진 않습니다
예전 사진이랑 비교해보려고 했는데 저기까지 보이는 사진이 없더라구요
추석연휴 전이라 심각해보인다면 이번주 평일 내로 치과 방문해보려고합니다 ㅠㅠ
안녕하세요. 김지훈 치과의사입니다.
잇몸이 심하게 퇴축된 것으로 보이지는 않지만 약간의 비대칭성은 관찰됩니다. 관리 잘해주시면 됩니다.
안녕하세요. 김철진 치과의사입니다.
사진상으로는 잇몸이 많이 퇴축되거나 그래보이진 않습니다 지금처럼 관리해주시면될것같습니다.
안녕하세요. 정진석 치과의사입니다.
현재 상태에서는 정상적인 잇몸 상태로 보입니다. 교정을 해서 생기는 잇몸 퇴축은 보이지 않으며, 시간이 지나면 모든 사람은 정상적인 범주에서 어느정도 잇몸이 퇴축됩니다. 현재 사진에서 병적 잇몸 퇴축은 보이지 않습니다.
아무쪼록 저의 답변이 문제 해결에 작게 나마 도움이 될 수 있기를 기원드립니다. 항상 건강하고, 행복하세요^^
안녕하세요. 안상우 치과의사입니다.
교정을 하면서 치아가 이동하게 되면 부분적으로 잇몸의 높이가 다르게 보일수 있습니다.
대부분 교정을 마무리하게 되면 대칭적인 모습을 띠는경우가 많습니다.
자세한 확인을 위해서 치과에서 진료를 받아보는 것을 권유드립니다.
안녕하세요. 최석민 치과의사입니다.
안녕하세요. 앞니 잇몸 퇴축일까요? -> 사진으로 봤을때 그닥 잇몸퇴축이 심각한 편은 아닙니다

