아하
  • 토픽

  • 스파링

  • 잉크

  • 미션


의료상담

활발한갈기쥐278

활발한갈기쥐278

아프지 않은 사랑니 꼭 뽑아야 할까요?

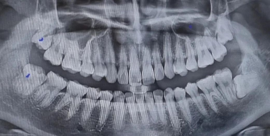
오른쪽(사진에 점 찍힌 거)은 자꾸 옆쪽에 닿고 좀 아파서 위아래 둘다 발치를 했는데요 왼쪽은 아프지도 않고 좀 애가 누워있고 좀 무섭게 나있어서 안 뽑고싶은데 꼭 뽑아야하는 위치인지 확인 부탁드려요... 사랑니 뽑고 관리도 너무 힘들고 왼쪽은 아프지도 않은데 꼭 뽑아야할까요? 너무 무서워요......

  • 1번 째 사진

5개의 답변이 있어요!

  • 최석민 치과의사

    최석민 치과의사

    강원도 원주의료원

    안녕하세요. 최석민 치과의사입니다.

    왼쪽(사진상 오른쪽) 사랑니도 옆 멀쩡한 어금니에 영향을 주어 충치를 유발하거나 뿌리를 흡수시킬 가능성도 있으며 사랑니 주위로 낭이 형성될 수도 있습니다. 일반적으로 이런 경우 의학적으로 발치를 권장드리긴 하나 어디까지나 발치여부는 환자분 선택입니다.

  • 안녕하세요. 송우식 치과의사입니다.

    지금당장 아프지 않더라도 기울어져 있는 사랑니는 앞의 어금니를 서서히 상하게 하여, 나중에 두개의 치아 모두 발치해야 할수 있습니다. 따라서 빠른시일내에 누워있는사랑니 발치를 권합니다.

    답변이 만족스러우셨길 바라며,⭐⭐⭐⭐⭐ 부탁드립니다 . 감사합니다.

  • 안녕하세요. 김지훈 치과의사입니다.

    사랑니는 웬만하면 빼는 것이 좋습니다. 나이가 들수록 뽑기가 힘들어지니 일찍 뽑으시는 게 좋겠습니다.

  • 안녕하세요. 안상우 치과의사입니다.

    사랑니는 맨 뒤에 나 있기 때문에 관리를 하는 것이 쉽지 않을 뿐만 아니라 잇몸이 부족한 적으로 나와 있게 되면 해당 부위를 자극하게 되어 불편감을 유발할 수 있습니다.

    큰 불편감이 없다면 관리를 하면서 사용할 수 있지만 불편감이 있거나 문제를 일으킬 수 수 있는 가능성이 있다면 예방 차원에서 발치를 하는 것이 좋을 수 있습니다. 자세한 확인을 위해서 치과에서 진료를 받아보세요.

  • 안녕하세요. 김철진 치과의사입니다.

    아프지 않으셔도 염증이 생기거나 관리가 안되서 충치가 생겻다면 다른 치아를 위해서 발치를 하시는게 좋습니다