아핫뉴스실시간 인기검색어
아핫뉴스 화산 이미지
화산 아이콘 11
연극스타 윤석화 별세
많이 본
아하

의료상담

치과

그럭저럭존경받는감나무
그럭저럭존경받는감나무

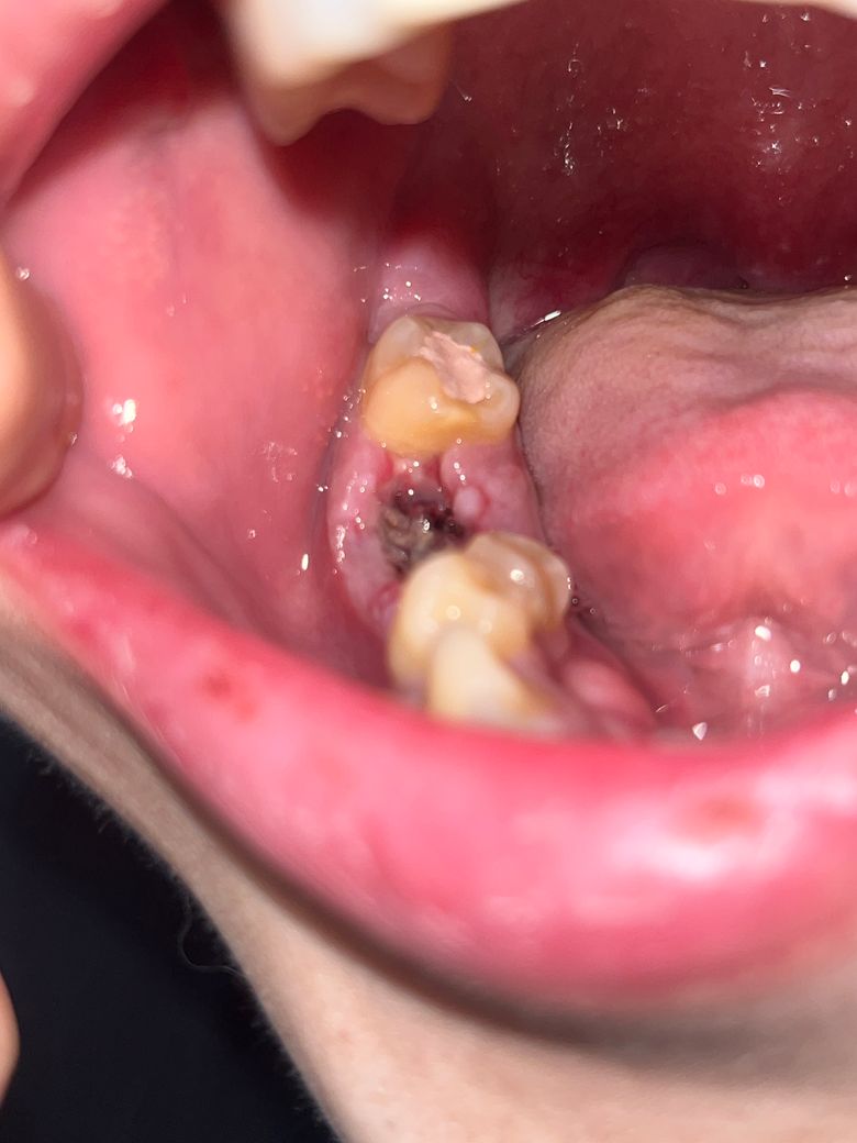
드라이소켓인가요? 한번봐주세용ㅠㅠ

며칠전 오른쪽 어금니 치아뿌리가 부러져 뽑았는데요 뽑는 과정은 엄청 힘들었습니다 오래걸렷고.. 치과선생님께서도 헤집으면서 뽑아서 아플거라고 하셨었습니다 3일차에 병원에 다시 들렀을땐 선생님께서는 별말 없으셨습니다

근데 현재 4~5일차인데 약간의 통증이 있으며 냄새도 좋지않고 턱과 볼이 뻐근합니다 드라이소켓인지궁금합니다

  • 1번 째 사진
  • 2번 째 사진
5개의 답변이 있어요!
  • 안녕하세요. 정진석 치과의사입니다.

    드라이소켓 가능성 보다는 정상적인 회복 과정일 가능성이 큽니다. 드라이소켓이라면 해당 부분의 통증이 약간이 아닌 극심하게 나타나게 됩니다. 현재 상태에서는 조금 더 지켜보는 것이 필요하며 발치 이후 지금과 같은 불편감은 자주 나타납니다.

    아무쪼록 저의 답변이 문제 해결에 작게 나마 도움이 될 수 있기를 기원드립니다. 항상 건강하고, 행복하세요^^

  • 안녕하세요. 송우식 치과의사입니다.

    사진상 드라이소켓으로 보이지는않으며, 발치후에 1-2주간은 통증 및 불편감이 나타날수 있습니다. 불편감이 있는 경우 소염진통제를 복용하고, 해당부위에 음식물 찌꺼기가 남지 않도록 가글을 하고, 소독용 헥사메딘 가글액 사용을 권합니다.

    궁금증 해소에 도움이 제 답변이 도움이 되셨길 바라며, '👍' 눌러주시길 부탁드립니다.

  • 안녕하세요. 김지훈 치과의사입니다.

    드라이소켓으로 보이지는 않습니다. 드라이소켓은 통증이 약간 나타나는 것이 아닌 참을 수 없는 통증이 생깁니다.

  • 안녕하세요. 최석민 치과의사입니다.

    드라이소켓의 가능성은 있어보입니다 발치 후 주의사항 잘 지키시고 통증이 심하면 치과를 가보시기 바랍니다

  • 안녕하세요. 김철진 치과의사입니다.

    드라이 소켓은 아닌거 같습니다. 상처가 심해서 그런거 같으니 치과에 가셔서 소독한번 받으시는게 좋을것같습니다.