아핫뉴스실시간 인기검색어
아핫뉴스 화산 이미지
화산 아이콘 11
신한카드 개인정보 유출
많이 본
아하

의료상담

치과

영원히책임감있는닭
영원히책임감있는닭

구강상태와 잇몸퇴축이 심한지 궁금합니다.

올해 20살된 성인입니다. 현재 구강상태가 심각해보여서 이렇게 글을 남겨봅니다. 정말 두렵네요..

잇몸퇴축이 심한지 다른 증상이 또 있는지 궁금합니다.

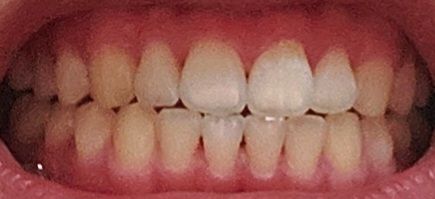
  • 1번 째 사진
4개의 답변이 있어요!
  • 안녕하세요. 김철진 치과의사입니다.

    사진상으로 보면 크게 문제가 잇어 보이진 않으니 지금처럼 관리하시면될것같습니다.걱정하지마세요

  • 안녕하세요. 김지훈 치과의사입니다.

    어떤 부분이 심각한지 잘 모르겠습니다. 정상적으로 보이니 앞으로 관리 잘해주시면 됩니다.

  • 안녕하세요. 최석민 치과의사입니다.

    잇몸퇴축이 심하진 않고 잇몸 부종 및 발적이 다소 있는것 같습니다 치태도 다소 쌓여있습니다

  • 안녕하세요. 송우식 치과의사입니다.

    사진상으로 잇몸퇴축이 치료가 필요로 될만큼 진행이 되지는 않은 것으로 보입니다. 양치를 꼼꼼히하여 관리하고, 부드러운 칫솔모를 이용하여 양치하길 권합니다. 정기적으로 치과에 방문하여 검진을 받으며 관리를 하길 권합니다.

    궁금증 해소에 도움이 되시길 바라며, 도움이 되신 경우 '👍 ' 눌러주길 부탁드립니다.