아핫뉴스실시간 인기검색어
아핫뉴스 화산 이미지
화산 아이콘 11
윤리심판원 김병기 제명
아하

의료상담

안과

미세먼지맑음
미세먼지맑음

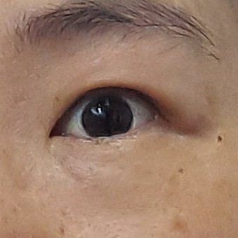
어머니가 다래끼가 난것 같은데 맞나요?

사진으로 봤을땐 정확히는 안보이는데 눈 왼쪽이 많이 부으셨고 오른쪽 날카로운(?)부분은 검정색으로 변하셨습니다. 건강에 이상이 있는걸까요?ㅠㅠㅠㅠ 며칠전부터 몸에 뭐가 나고 그 후에 눈이 부으셨는데 병원에 가보셔야 할까요?

  • 1번 째 사진
3개의 답변이 있어요!
  • 안녕하세요. 김창윤 의사입니다.

    크게 부은 것으로 보이지는 않지만, 몸에 뭐가 나고 부엇다면 두드러기 가능성이 있습니다.

    정확한 것은 피부과 혹은 안과 내원하여서 적절한 신체진찰 및 영상 검사가 필요합니다.

    도움이 되셨으면 좋겠습니다. 감사합니다. 😄

  • 탈퇴한 사용자
    탈퇴한 사용자

    안녕하세요. 노동영 의사입니다.

    사진으로 확인은 불가능하여 병원에 가셔서 확인하는 것이 좋습니다.

    다래끼는 눈꺼풀에 존재하는 분비샘에 생기는 염증질환입니다. 염증이 생기면서 부어오르고 이물감과 통증이 동반될 수 있습니다. 치료는 항생체로 주로 치료하지만 반응을 잘 안하고 지속되는 경우 절개배농을 해줘야 할 수도 있습니다. 안과에 가셔서 진료를 받으시고 적절한 조치를 받는 것이 좋습니다. 


  • 사진을 통해 보았을 때에는 다래끼인지 다소 애매한 소견입니다. 하지만 의심스럽기는 하며, 당장 병원에 가서 특별한 조치를 받으셔야 하는 것은 아닙니다. 다래끼는 염증, 감염 등의 원인으로 인해서 눈의 눈물샘이 막히게 되면 발생하는 질환입니다. 대부분은 일시적으로 지나가기 때문에 특별한 치료 없이 시간이 경과하면 호전되는 경과를 거칩니다. 하지만 눈을 따뜻한 수건으로 가볍게 마사지 해주듯 눌러주는 등의 요법으로 치료를 가속화할 수 있습니다. 만약 시간이 지나도 호전되지 않는다면 절개하여 제거하여야 합니다. 드물지만 다래끼를 계속 손으로 계속 만지거나 할 경우에는 2차적으로 감염이 생기며 눈의 봉화직염이 생길 수 있으므로 손으로 다래끼를 만지는 것은 최대한 피하여야 합니다.