아하

의료상담

치아 관리

기막히게적극적인두부김치
기막히게적극적인두부김치

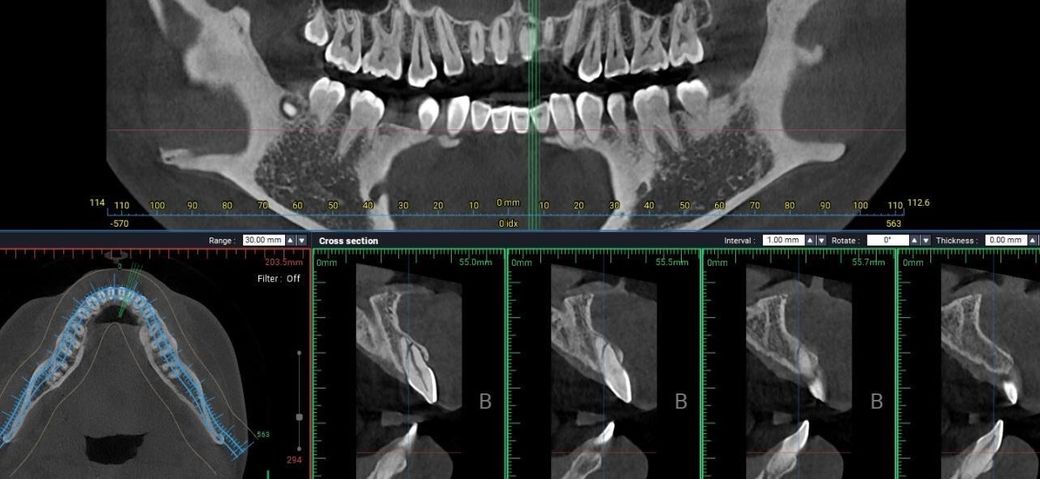
이빨 CT사진인데 뿌리쪽 크랙일까요

최근에 넘어져서 이빨을 다쳤었는데

현재 육안상은 밑에가 금이가있습니다

치과를 다녀왔는데 뿌리쪽에 크랙일까요….

확인부탁드립니다

  • 1번 째 사진
2개의 답변이 있어요!
  • 안녕하세요. 최석민 치과의사입니다.

    최근에 넘어져서 이빨을 다쳤었는데

    현재 육안상은 밑에가 금이가있습니다

    치과를 다녀왔는데 뿌리쪽에 크랙일까요….

    확인부탁드립니다 -> 네 뿌리 부위 사선으로 크랙의 상황 같습니다.

    1명 평가
  • 안녕하세요. 안상우 치과의사입니다.

    CT사진상으로 봤을 경우 치근에 큰 금이 가있는것으로 보입니다.

    저정도의 금이라면 치아에 극심한 통증이 있게 됩니다 통증이 없는것이라면 영상상에만 검은 줄이 보이는것일수도 있습니다.

    자세한 확인을 위해서 치과에서 진료를 받아보는 것을 권유드립니다.