아하
  • 토픽

  • 스파링

  • 잉크

  • 미션


의료상담

단호한돌고래37

단호한돌고래37

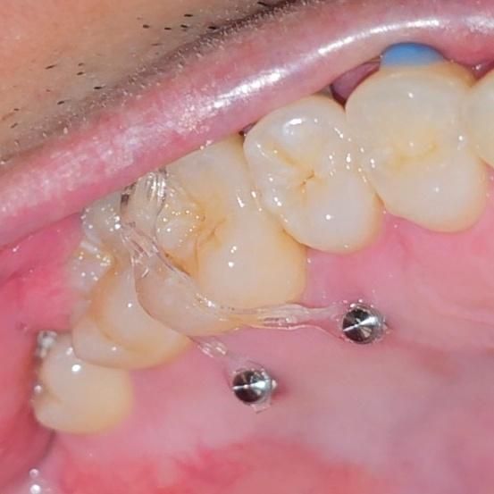
윗어금니 압하 부분교정 이상태로 될까요?

윗어금니 압하 부분교정 5주차 입니다

잇플란트 치료 중으로 아래대합치는 없고 픽스쳐만 심어놓은 상태입니다

현상태에서 교정효과가 있을까요?

  • 1번 째 사진
  • 2번 째 사진
  • 3번 째 사진

3개의 답변이 있어요!

  • 김지훈 치과의사

    김지훈 치과의사

    메가

    안녕하세요. 김지훈 치과의사입니다.

    위 상태대로 하시면 됩니다. 어떤 부분이 정확한 의문인지 질문만 봐서는 잘 이해가 안됩니다.

  • 안녕하세요. 김철진 치과의사입니다.

    교정을 하고 잇는 상태라면 치아가 이동되면서 효과가 생길꺼에요. 교정은 오래 걸리는 치료이니 천천히 치료 받아보시는게 좋을것같습니다.

  • 안녕하세요. 최석민 치과의사입니다.

    임플란트 식립 및 보철 공간 확보를 위해 대합치 어금니 고정만 하는 경우라면 와이어로도 충분하고, 현 상태는 어금니 압하를 하는 과정입니다.