아핫뉴스실시간 인기검색어
아핫뉴스 화산 이미지
아하

의료상담

치과

쌈박한소112
쌈박한소112

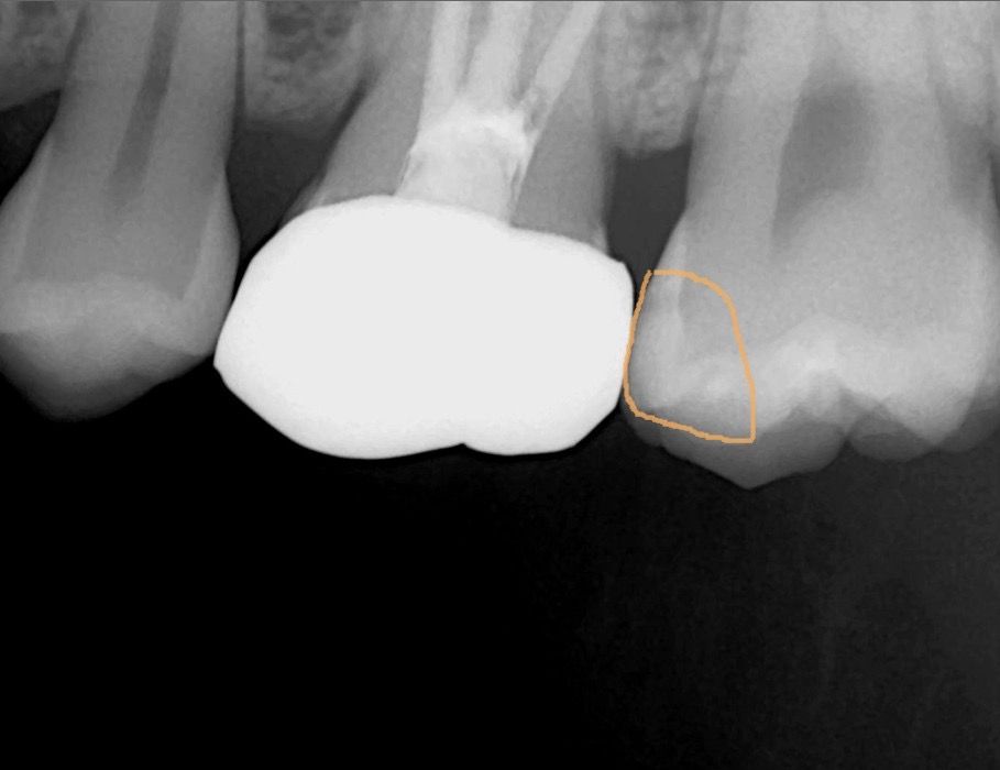
충치있는지 봐주실수있나요? 엑스레이 사진

엑스레이사진입니다. 노란동그라미친부분이 충치인지 알수있을까요? 치과마다 충치갯수를 다르게 이야기해줘서 너무헷갈리네요 ㅜㅜ

  • 1번 째 사진
3개의 답변이 있어요!
  • 안녕하세요. 안상우 치과의사입니다.

    사진으로 봤을 경우에는 충치가 있어 보이진 않습니다. 하지만 육안으로도 확인을 해야 할 수 있기 때문에 정확한 확인을 위해서 저는 치과에서 진료를 받아보는 것이 좋습니다.

  • 안녕하세요. 김철진 치과의사입니다.

    엑스레이 상으로는 충치가 잇는것처럼 보이긴합니다. 작은 엑스레이를 찍어보면 더 정확히 알수잇을것같고, 충치가 의심이 되긴합니다.

  • 안녕하세요. 최석민 치과의사입니다.

    에긋레이 사진에서 봤을땐 특별히 충치의 양상은 없습니다. 다만, 충치는 엑스레이 사진만으로 진단 내리기에는 부족함이 있을 수도 있습니다.