아핫뉴스실시간 인기검색어
아핫뉴스 화산 이미지
아하

의료상담

치과

그래도흥미진진한치즈김밥
그래도흥미진진한치즈김밥

제2대구치 큰어금니가 없는데 임플란트 대신 발치하고싶어요

원래 아래쪽 큰어금니가 없어서 치과에서는 임플란트를 하라고 했는데요..

임플란트를 하면 유지관리도 어려울거같고 임플란트 수명도 있으니까 나중에 나이 들어서 다시 바꿔야할까봐 하기 싫단말이죠,,,

그래서 일단 냅뒀더니 위쪽 큰어금니가 계속 자라면서 양치도 잘 안돼고 좀 아파져서요ㅜ 가끔 아래쪽 잇몸도 부아오르고

생각했을때

임플란트를 함 -> 심을때 + 수명다돼서 다시 뺄때 + 다시 심을따 세번이나 아파야하는데

그냥 위에걸 뽑음 -> 뽑을때 한번만 아픔

그럼 그냥 자라고있는 위쪽 큰어금니를 빼버리면 안되나 싶어서요..

어차피 지금 맞물리는 치아가 없으니까 얘는 있으나마나한거 아닌가요??? 그럼 그냥 뽑아버려도 되나요?

치과갔다가 당장 임플란트 해야한다고 할가봐 못가고있는데,,

답없으면 치과갈게요,,

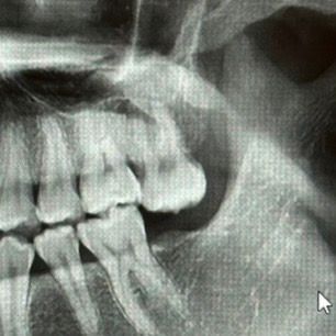
엑스레이가 한 반년전이고 사진이 지금이에요

  • 1번 째 사진
  • 2번 째 사진
2개의 답변이 있어요!
  • 안녕하세요. 김철진 치과의사입니다.

    대합되는 위쪽 치아는 많이 정출되서 아래 임플란트를 하시더라도 추가적인 치료가 필요 할것같습니다 치아를 빼도 되지만, 음식을 드실때 불편하실꺼에요.

  • 안녕하세요. 최석민 치과의사입니다.

    1. 말씀하신 것처럼 지금 왼쪽 맨 뒤 어금니는 아래와 맞닿는 치아가 없어서 위에 치아는 계속 정출되고, 잇몸 염증 유발합니다.

    2. 별다른 처치 없이 뺄 경우 이제 왼쪽은 큰 어금니 위, 아래로 1개씩만 가지고 생활하시는 거고 아주 큰 문제는 없으나 아무래도 저작력이 떨어집니다. 남은 어금니 한개가 힘을 많이 받고, 일을 많이 하다보면 또 금방 망가질 수 있습니다.

    3. 이 뺀 자리는 이제 잇몸과 잇몸뼈가 흡수되기 시작하여 뼈가 얇아집니다. 많이 지체되면 임플란트 심기 어려운 환경이 될 수도 있습니다.

    4. 어떻게 치료를 할지는 환자 본인 선택이고, 의료진은 의학적인 지식을 바탕으로 권고만 할 뿐입니다.

    5. 누가 임플란트 무조건 해야 한다고 강제할 수도 없는 거고요