아하
  • 토픽

  • 스파링

  • 잉크

  • 미션


의료상담

얄쌍한라마12

얄쌍한라마12

25.03.08

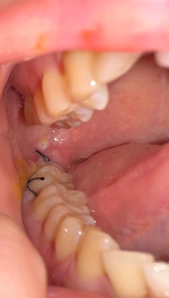
매복사랑니발치6일차.. 혹시 이거 드라이소켓인가요 ?̊̈. 고름찬거 같은데

지금 신경쪽 가까운 매복사랑니 뽑은지 6일차인데 아직도 욱신거리고 아파요... 머리가 살짝 울리듯이 아파서 방금 또 약을 먹긴 했는데 아직도 볼쪽이 멍울이 있어서 불편한데.. 왜 저렇게 볼쪽에 노란거랑 흰색이 있는거죠 ?̊̈..염증인건가요 ?̊̈ 아무는중인건가요.. 드라이소켓은아닌가요 ?̊̈.

  • 1번 째 사진

3개의 답변이 있어요!

  • 김지훈 치과의사

    김지훈 치과의사

    메가

    25.03.09

    안녕하세요. 김지훈 치과의사입니다.

    드라이소켓은 아닌 것으로 보입니다. 살이 씹히거나 한 부분이 조금 있어보이며 크게 문제가 될 것 같진 않습니다.

  • 안녕하세요. 안상우 치과의사입니다.

    사진으로 볼때는 크게 이상이 없어 보입니다.

    사랑니를 발치하면 보통 1주일정도 지나면 통증이 줄어드는것이 정상입니다.

    발치한 부위를 자극하지 않는것이 좋습니다.

    자세한 확인을 위해서 치과에서 진료를 받아보는 것을 권유드립니다.

  • 안녕하세요. 송우식 치과의사입니다.

    현재 사진상 드라이소켓은 아닌 것으로 보이며, 발치부위 노란색, 흰색부분은 혈전위로 섬유조직이 차오르는 과정입니다. 회복되는 과정으로 정상이나 만약 해당부위가 점점더 통증이 심하거나 고름이 차거나 악취가 발생시에는 치과 진료를 권합니다.

    만족스러운 답변되셨으면 합니다.

    <평가> 감사합니다.