홈
토픽
스파링
잉크
미션
전문가 신청
베리몰
나도 질문하기
의료상담
2026건강
안녕하세요.
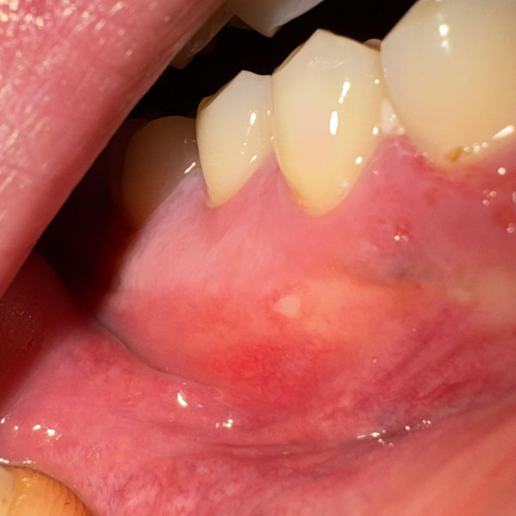
3일전쯤에 잇몸이아파서 봤더니 맨처음에는
아주조금하게 물혹(수포)? 같은게생기고 아프더라구요
그래서 그냥 냅두고 지냈더니
통증은 아직 있지만(만질때 아파요)
밥먹거나 그럴때는 많이 괜찮아진편인데
이젠 하얗게변했어요 그냥 냅두면될까요?
아니면 병원에가봐야되나요?
사진 보기
1개의 답변이 있어요!
최석민 치과의사
강원도 원주의료원
∙
안녕하세요. 최석민 치과의사입니다.
구내염의 양상 같습니다. 불편한 증상 있으면 약국에서 오라메디나 디프람 같은 연고 사서 바르시기 바랍니다.
채택 보상으로 182베리 받았어요.
5.0 (1)
응원하기