아하
  • 토픽

  • 스파링

  • 잉크

  • 미션


의료상담

어쩐지희망찬해물파전

어쩐지희망찬해물파전

무턱인지 하악왜소증인지 궁금합니다

성별

남성

나이대

25

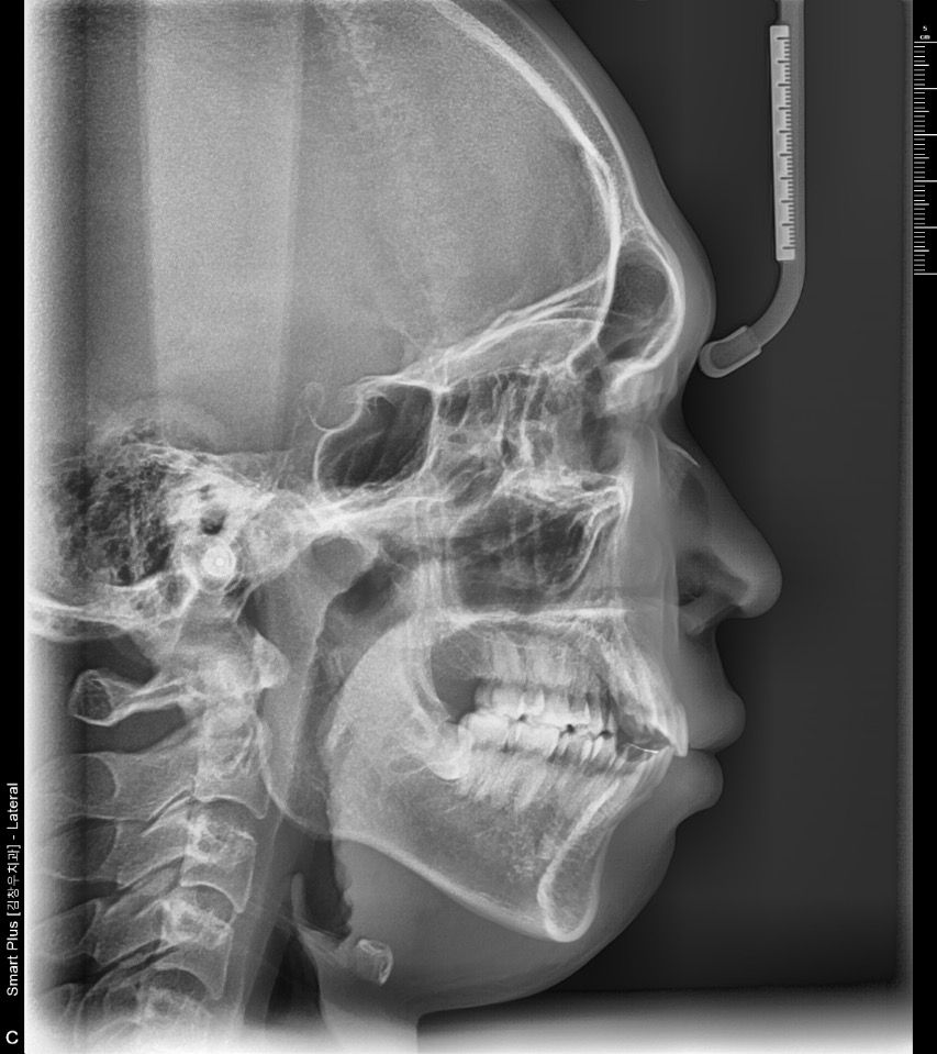
무턱인지 하악왜소증인지 궁금합니다 돌출입 때문에 치아교정했는데 1년째 입이 들어가는것같지가 않아 낮은코와 턱때문인거같다는 생각이 들더라고요

  • 1번 째 사진

1개의 답변이 있어요!

  • 김종성 성형외과 전문의

    김종성 성형외과 전문의

    경북대학교병원

    안녕하세요. 김종성 성형외과 전문의입니다.


    하악이 후퇴되거나 왜소증 가능성이 있습니다.

    하악골의 전방 돌출이 부족하여 길이도 짧아보이는 것 같습니다.

    따라서 무턱 인상도 유발하게 되는 것 같습니다.

    또한 비순각(코끝-윗입술사이의 각도)도 각도가 아쉽습니다.

    코끝높이를 올려주는것이 도움이 될 것 같습니다.

    답변이 도움이 되시면 좋겠습니다.