의료상담
55글자 더 채워주세요.
5개의 답변이 있어요!
안녕하세요. 한성미 치과위생사입니다.
발치부위가 앞 어금니에 가려 잘 보이지는 않네요. 그런데 보통 일주일정도 지나면 진통제를 먹을만큼의 통증은 아닐텐데 아직도 많이 아프시다면 염증이 생겼을 가능성이 있어요. 실밥은 보통 발치 후 7~10일에 푸는데 오래 놔두면 오히려 이물질이 붙어 더 안좋을 수 있어요. 치과에 가셔서 어떤 문제인건지 알아보시는게 좋을 것 같아요. 염증 생긴거라면 항생제도 같이 처방해 드릴꺼예요.
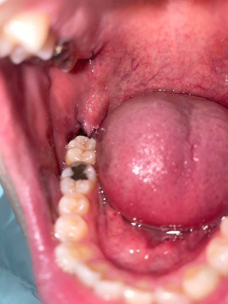
안녕하세요. 이정현 치과의사입니다.
매복사랑니발치후 보통 통증이 5일정도 지속될 수 있습니다.
그 이상 심한통증이 지속된다면 건치와의 가능성이 있습니다.
우선 실밥제거시에 치과에 통증에 대해 문의해보시기 바랍니다 감사합니다.
안녕하세요. 김지훈 치과의사입니다.
통증이 극심하다면 염증의 가능성이 있습니다. 구멍은 메꿔지는데 한달이상 걸리며 통증은 점차 줄어드는것이 맞습니다
안녕하세요. 김철진 치과의사입니다.
사랑니 발치후에 하루이틀정도면 어느정도 통증은 사라집니다. 일주일이 지낫는데도 아프디사면 드라이소켓일 가능성이 잇으니 치과에 가셔서 소독을 한번받으시는게 좋을것같습니다.
안녕하세요. 장인아 치과위생사입니다.
뼈가 차오를때까지 발치 부위가 다른부위보다 자극에 예민할수 있고 안쪽의 뼈가 자극에 쉽게 노출되기 때문에 통증이나 시큰거리는 경우가 있을수 있으니 발치부위에 최대한 자극이 가지 않도록 하면 좋을것 같습니다
도움이 되기를 바랍니다. 건강하세요.

