아하
  • 토픽

  • 스파링

  • 잉크

  • 미션


의료상담

곰살맞은비단벌레208

곰살맞은비단벌레208

구강검진이 교익사진보다 중요하나요?

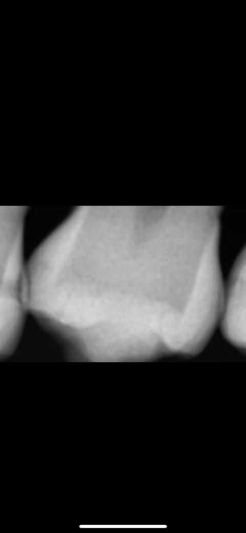
한색 하고 약간 누룽지 갈색 충치인가요 변색인가요?

저 부분을 충치치료해야한다 하셨는데 교익사진에는 전혀 깊어보이지가 않거든요 교익이 더 정확하지않나요? 그리고 저부분은 인레이를 해야되는 위치인거같은데요

  • 1번 째 사진
  • 2번 째 사진

2개의 답변이 있어요!

  • 안상우 치과의사

    안상우 치과의사

    목동안치과의원

    안녕하세요. 안상우 치과의사입니다.

    방사선 사진상에서는 충치의 소인이 보이고 있긴 합니다 하지만 충치의 정도는 육안으로 확인을 해야 하는 것이기 때문에 육안을 확인을 해서 충치를 치료할 필요가 있다면 충치를 치료해 주는 것이 좋습니다.

  • 안녕하세요. 김철진 치과의사입니다.

    교익사진을 보면 치아 사이에 충치가 잇는거 같습니다. 인접면에 충치가 잇으면 레진 또는 인레이 치료를 하시면될것같습니다.