아핫뉴스실시간 인기검색어
아핫뉴스 화산 이미지
화산 아이콘 11
코스닥 사이드카 발동
많이 본
아하

의료상담

치과

정직한황여새196
정직한황여새196

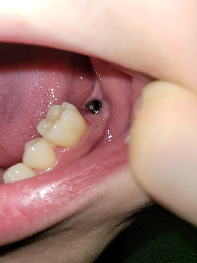
힐링어버트먼트 위로 잇몸살이 올라와요

2차 수술 후 본을 뜨고 회복중입니다. 근데 잇몸 살이 힐링어버트먼트 위로 올라오는 것 같아요

올라온 부위는 혀로 만져보면 새 살 같이 예민하긴 합니다.

첫번째 사진은 수술 D+5일이고 두번째 사진은 D+7일입니다.




  • 1번 째 사진
  • 2번 째 사진
3개의 답변이 있어요!
  • 안녕하세요. 안상우 치과의사입니다.

    힐리 어부트먼트 위에 잇몸이 올라와도 문제는 되지 않아요.

    나중에 보철물을 올릴때는 잇몸을 다듬게 됩니다.

  • 안녕하세요. 김철진 치과의사입니다.

    문제가 있는건 아니니 상관없습니다. 추후에 본을 뜰때 잇몸을 다듬거나 더큰 힐링으로 교체를 하시면됩니다.

  • 안녕하세요. 최석민 치과의사입니다.

    이미 본까지 다 뜬 상태면 1주일 내로 다시 치과에서 가서 이제 임폴란트 머리(크라운)를 연결하고 치료를 마무리 하실 텐데요

    그 사이에 잇몸이 조금 자랐다면 잇몸을 절개하고 크라운을 연결할 수도 있습니다.

    그건 다음 내원 시 치과의사가 판단할 부분입니다.