아핫뉴스실시간 인기검색어
아핫뉴스 화산 이미지
화산 아이콘 11
'미스트롯4' 오디션
많이 본
아하

의료상담

치과

정직한황여새196
정직한황여새196

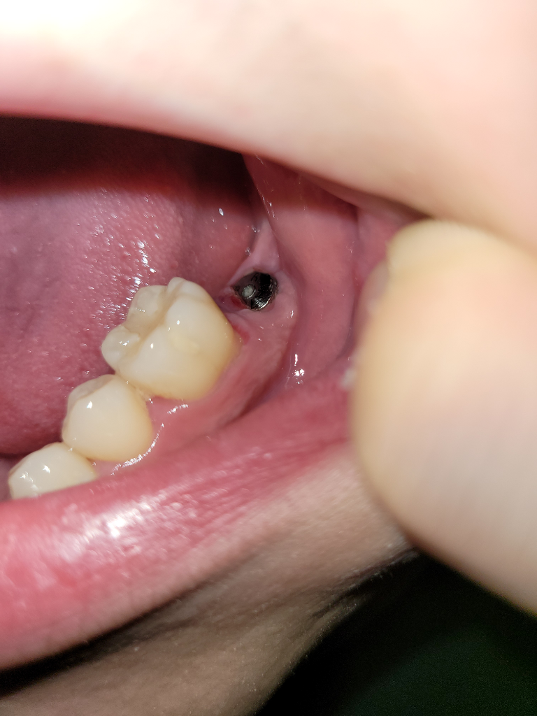
힐링 어버트먼트를 잇몸 살이 덮었어요

임플란트 2차 수술후 사진입니다. 보다시피 잇몸 일부가 저렇게 위로 올라왔는데 저 부분이 좀 예민한 것 같아요 그냥 둬도 되는건가요? 병원가서 잘라내야할까요? 저번주 화요일에 실밥 풀고 본떴습니다.




  • 1번 째 사진
3개의 답변이 있어요!
  • 안녕하세요. 송우식 치과의사입니다.

    약간 잇몸이 덮힌 것은 아무른 문제되지 않습니다. 나중에 본 뜨고 임플란트 크라운 끼울 때 잇몸을 약간 누르면서 들어가니 괜찮습니다. 그냥두면 됩니다.

  • 안녕하세요. 김철진 치과의사입니다.

    크게 문제가 잇는건 아닙니다. 잇몸 붓기가 가라 앉으면 괜찮아 지실꺼에요.너무 걱정하지마세요.

  • 안녕하세요. 치아를 사랑하고 아끼는 치과의사 최석민입니다.

    2차 수술을 통해 달아둔 힐링어버트먼트는 잇몸모양을 임플란트에 맞게 형성한다는 것에 의미가 있습니다. 잇몸 증식이 아주 빠르다면 높이가 더 높은 힐링으로 바꿔줄 수 있습니다. 현재 임플란트 치료 진행 중인 치과를 한번 가보시는 게 좋겠습니다.