아핫뉴스실시간 인기검색어
아핫뉴스 화산 이미지
화산 아이콘 11
비트코인 대폭락 경고
아하

의료상담

치과

사려깊은망둥어288
사려깊은망둥어288

잇몸이 간지러워서 잇몸치료 했는데 언제 나아지나요?

지난주부터 앞니 위아래 잇몸이 너무 간지러워서 양치하면서 경과를 보다가 그래도 너무 간지러워서 어제 치과에 갔습니다.


치근단 엑스레이 촬영하고 잇몸치료를 받았습니다.

그런데 제 윗앞니가 다른 치아보다 뿌리가 짧다는 이야기를 들었는데, 이건 그냥 신체적 특징일 뿐이라고 그렇구나 받아들이면 되고 잇몸치료를 받으면 된다고 하셨습니다.


마취 없이 기구로 긁어내는 치료를 받고 약도 이틀치 받아왔습니다.


1.아직도 조금 부어있고 간질간질한 느낌이 드는데 어느 정도 시간이 지나야 완화될까요? 자꾸 신경쓰여서 더 간지러운 것 같기도 합니다. 치료 전보다는 확실히 덜 간지럽긴 한데 ㅜ


2.잇몸치료 후 어제 치실을 살살 했는데 피가 나왔습니다. 잇몸치료 후에도 치실 사용해도 되나요?


3.


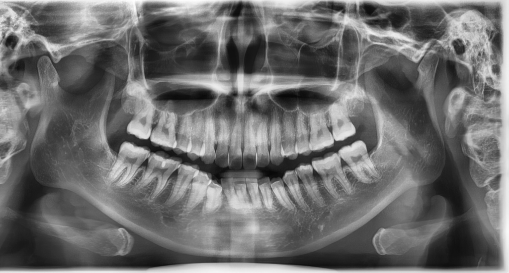
열흘 전에 다른 치과에서 찍은 엑스레이인데 별 다른 이상은 없다고 하셨는데, 제 윗앞니 뿌리가 많이 짧은 편인가요?? 걱정돼서요 ㅠ

  • 1번 째 사진
3개의 답변이 있어요!
  • 안녕하세요. 김지훈 치과의사입니다.

    일주일정도는 불편한 느낌이 지속될 수 있습니다. 많이 심하지는 않으며 치실은 쓰셔도 됩니다.

  • 안녕하세요. 김철진 치과의사입니다.

    하루정도 지나시면 잇몸은 괜찮아 지실꺼에요. 아래 앞니치아 뿌리가 약간 짧아보이긴 합니다.

  • 안녕하세요. 치아를 사랑하고 아끼는 치과의사 최석민입니다.

    1. 치아 뿌리의 경우 유전적으로 짧은 경우도 있고 교정치료를 해서 짧아지는 케이스도 있습니다. 위 방사선 사진만 보고는 아래 앞니 뿌리가 원래 짧은 것인지 아니면 아래 앞니가 앞으로 기울어져서 (flaring) 사진 상 왜곡된 것인지 알 수는 없습니다. 혹시 본인 아래 앞니가 앞으로 기울어져 있지는 않은지 확인해보시기 바랍니다. 만약 그렇다면 실제 치근 길이는 정상이어도 사진으로는 저렇게 짧게 나오는 경우도 있습니다.

    2. 치은연하(잇몸안쪽) 깊숙이는 넣지 않는 간단한 큐렛(잇몸 염증 긁어내는 치료) 치료를 받으신 것 같습니다. 술후 며칠 정도는 불편감이 있을 수 있지만 증상은 호전되며 재평가는 2주 정도 뒤에 진행합니다. 치과에서 아마 2주 정도 뒤에 다시 와서 상태를 보자고 했을 것입니다.

    잇몸 치료의 목표는 이렇게 치아와 잇몸 틈 사이 간격을 줄여주는 것입니다. 잇몸 상태가 안 좋아지면 잇몸부종이 생기거나 아니면 잇몸퇴축이 나타날 수 있는데 둘 다 치아를 덮고 있는 잇몸 양이 적어진다는 특징이 있습니다. (잇몸부종은 겉으로 보기에는 잇몸이 더 치아를 덮고 있는 것처럼 보이지만 부착된 잇몸이 아니기에 의미가 없습니다. 오히려 고랑이 깊어져 관리가 어렵습니다.)