아핫뉴스실시간 인기검색어
아핫뉴스 화산 이미지
아하

의료상담

치과

고매한하운드135
고매한하운드135

잇몸 레이져치료 받았는데 원래 이런가요?

평소부터 좌측 아래 잇몸이 한 번씩 욱씬거리거나 자극이 있을때가 있는데요. 증상이 나타나면 일주일 전후로 가는거 같습니다.

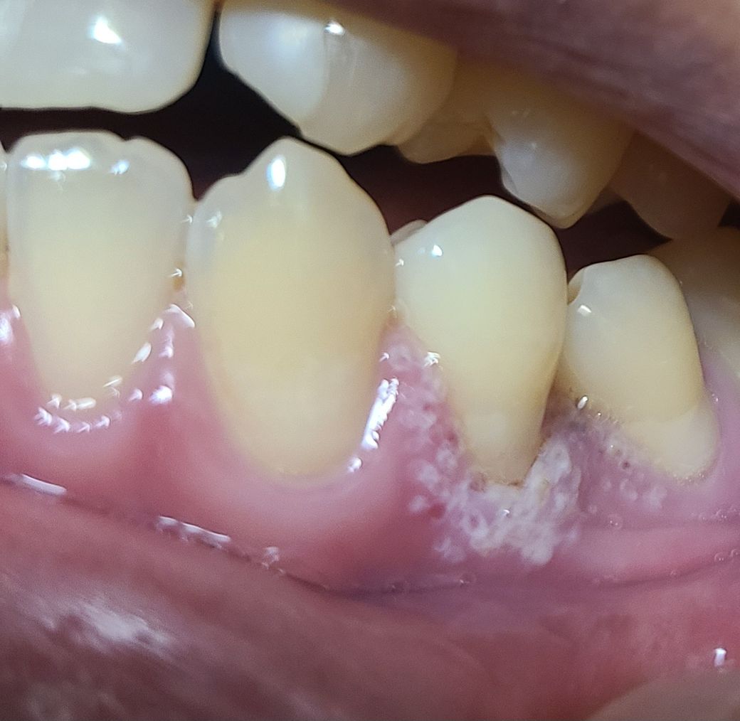
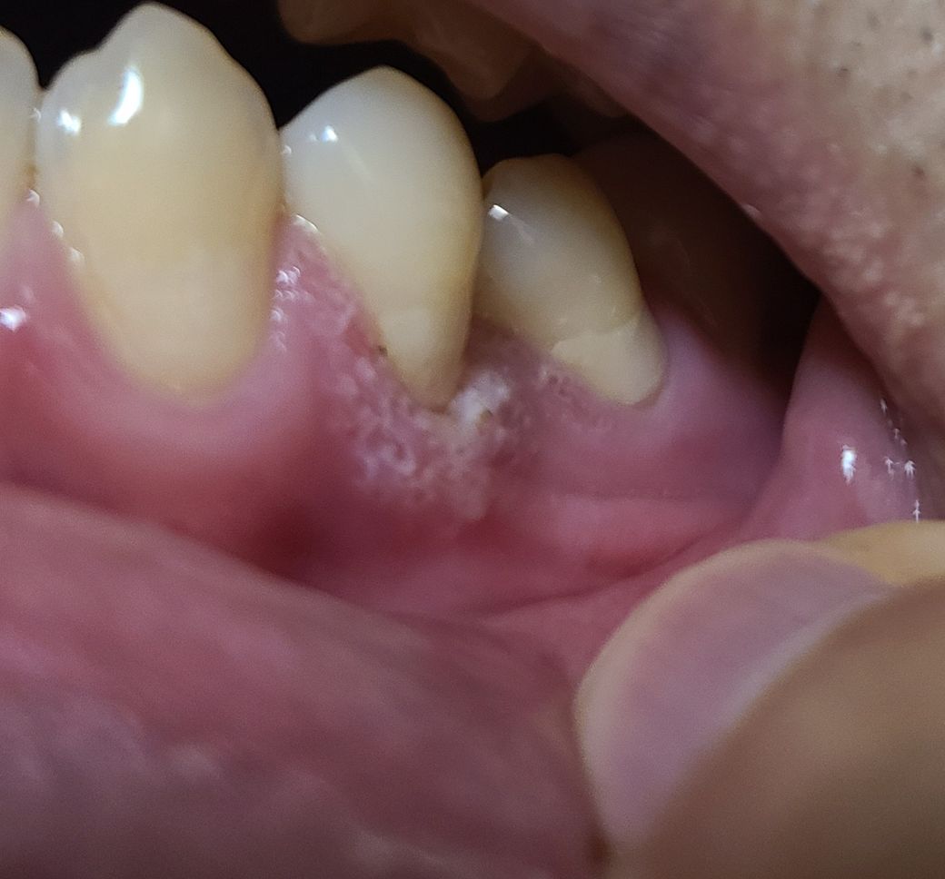
이번에도 증상이 있어서 간단한 염증 치료 받겠거니하고 치과를 갔는데 1분 정도 레이져 치료를 해주더라구요. 근데 치료받으니 2번째 사진처럼 오히려 치료받은 부위쪽 잇몸이 엉망이 되어있네요. 1번째 사진은 하루자고 나니까 더 심해졌는데 원래 레이져치료 받으면 잇몸이 저렇게 되는게 정상인가요?

치료받기전에는 잇몸 경계부위만 살짝 하얗게 떠있었는데 지금은 오히려 더 심해진거 같네요..

그리고 레이져치료 1분정도 받고 5만원 나오던데 레이져치료 비용이 원래 이렇게 비싼가요?

  • 1번 째 사진
  • 2번 째 사진
55글자 더 채워주세요.
3개의 답변이 있어요!
  • 레이저 등으로 인해서 잇몸에 자극이 되었다면 잇몸이 아무는 데 시간이 걸릴 수 있습니다.

    보통 잇몸이 아무는 데는 2주 정도의 시간이 걸리기 때문에 해당 부위를 자극하지 않는 것이 좋습니다. 잇몸 치료는 일반적으로 치아 주변에 있는 치석이나 이물질을 도구로 제거하는 방법입니다

  • 안녕하세요. 김철진 치과의사입니다.

    염증이 심한경우에는 저럴수도 있습니다. 레이저 치료는 비보험치료이기 때문에 병원마다 가격은 차이가 날수 있습니다.

  • 안녕하세요. 최석민 치과의사입니다.

    레이저로 인해 잇몸이 자극된 상태이고, 다시 회복되려면 1~2주 정도 걸립니다.

    레이저 장비를 활용한 잇몸치료는 보험이 적용 안되는 부분이 있다면 다소 전통적인 잇몸치료 방식보다 비용이 많이 나올 수 있습니다.