아하
  • 토픽

  • 스파링

  • 잉크

  • 미션


의료상담

내일도융통성있는감자칩

내일도융통성있는감자칩

24.05.19

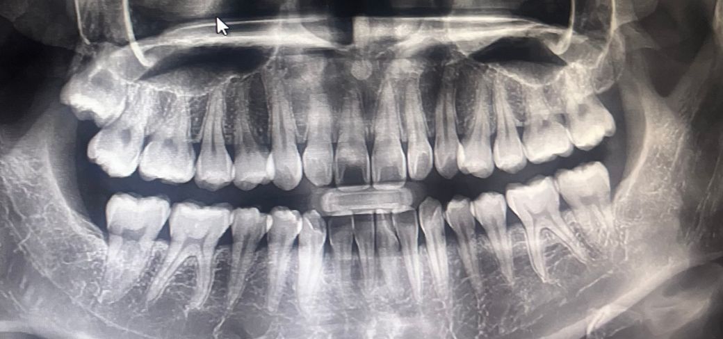
엑스레이상 치료가 급한 충치가 있나요 ?

오른쪽 위아래 어금니가 간헐적으로 시큰? 시려서 스케일링 갔다가 표면상 충치만 있는, 심하지는 않다고 하셔서 레진 치료만 받았는데요 증상이 별로 좋아지지도 않고...엑스레이상 인접면이나 뿌리쪽 충치가 없는게 정말 맞나요 ?

  • 1번 째 사진

3개의 답변이 있어요!

  • 김철진 치과의사

    김철진 치과의사

    가까운우리치과

    24.05.20

    안녕하세요 치과의사 김철진입니다. 엑스레이 상으로는 충치가 심한건 보이진 않습니다. 지금처럼 관리 하시고 정기적으로 치과에 가셔서 체크를 받으세요.

  • 특별히 오른쪽 위,아래로 눈에 보이는 충치는 없습니다. 다만 오른쪽 위의 경우 사랑니가 옆 어금니와 겹쳐 누르고 있는 양상입니다. 이런 경우 옆 어금니의 뿌리 흡수, 뿌리부위 충치가 야기될 수 있고 시린증상도 이와 관련될 수 있습니다.

  • 파노라마 사진으로 봤을 경우에는 특별히 큰 충치가 없어 보입니다 하지만 정확한 확인은 육안으로 확인을 해야 하기 때문에 치과에서 진료를 받아 보는 것이 좋습니다.