아하
  • 토픽

  • 스파링

  • 잉크

  • 미션


의료상담

대단히당당함이넘치는올빼미

대단히당당함이넘치는올빼미

출산 일주일 앞두고 태아 심장초음파와 혈소판 수치때문에 전원 고민입니다

성별

여성

나이대

30대

이제 출산 일주일 남은 경산모입니다.

시험관으로 아이를 가졌고 첫째때는 혈소판 수치가 임신 중기부터 떨어져 대학병원에서 출산했는데 둘째는 후기에 떨어지기 시작해 현재 6만5천입니다. 5만까지는 수혈 안하고 제왕절개 가능하다하셔서 지방 개인 병원에서 낳으려고 했는데 걱정이 좀 되네요..

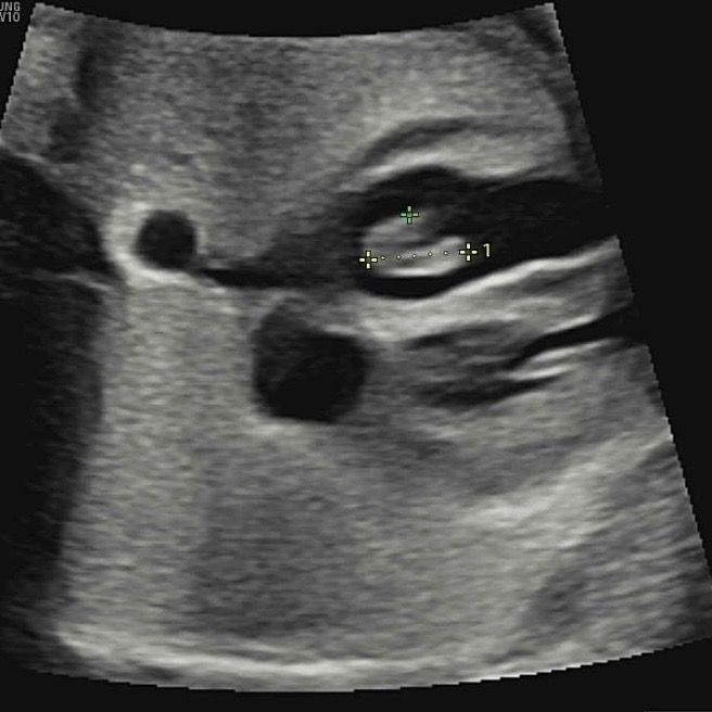
두번째로는 이제껏 깨끗하게 보였던 태아 심장에서 하얀 덩어리가 보이는데 혹같다고 말씀하시더라구요~ 일단 낳고 보자시는데 다른 개인병원 방문했을땐 또 안보인다 하셔서 불안해요. 한번 봐주세요ㅠㅠ

  • 1번 째 사진

1개의 답변이 있어요!

  • 김준오 의사

    김준오 의사

    영남대학교의료원

    안녕하세요. 김준오 의사입니다.

    혈소판 수치의 감소와 태아 심장에서의 혹 등 출산 이후에 예상치 못한 문제가 생길 가능성이 존재하는 것으로 보입니다.

    대학병원에서 출산을 하는 것을 권유드립니다. 출산 이후, 회복기에서도 태아와 산모 모두에게서 문제가 생길 수 있습니다.

    도움이 되셨기를 바랍니다. 감사합니다.