아하
  • 토픽

  • 스파링

  • 잉크

  • 미션


의료상담

절대견고한망둥어

절대견고한망둥어

20대인데 잇몸퇴축 초기 진단받았습니다. 수술을 고려해야 할 나이일까요?

건강검진에서 잇몸퇴축 초기 증상 진단 받았습니다. 수술을 받아야 할까요?

20대 중반인데

건강검진 갔다가

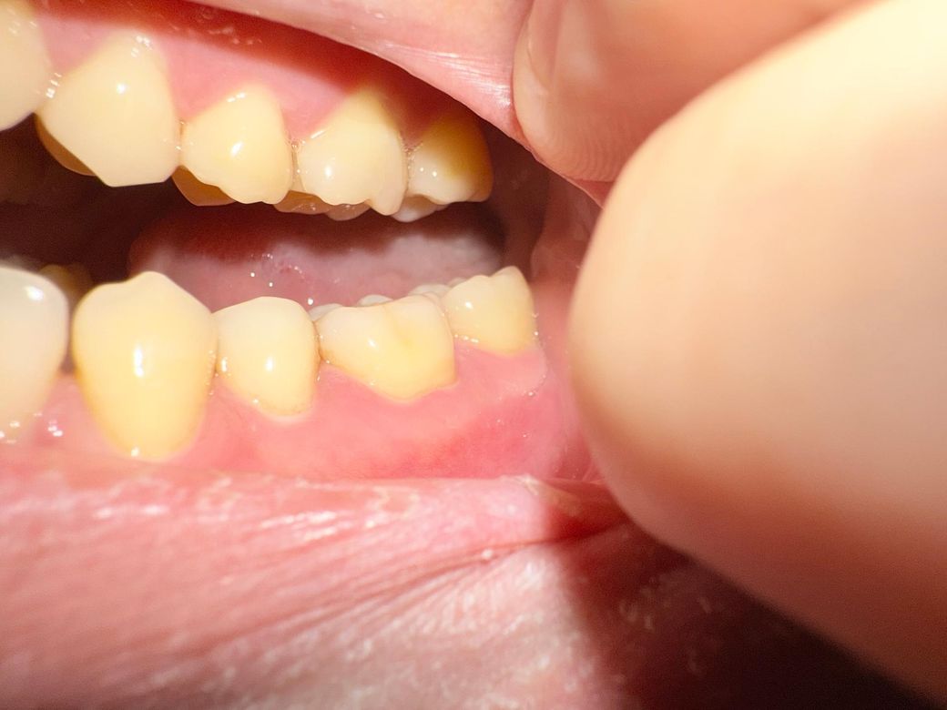
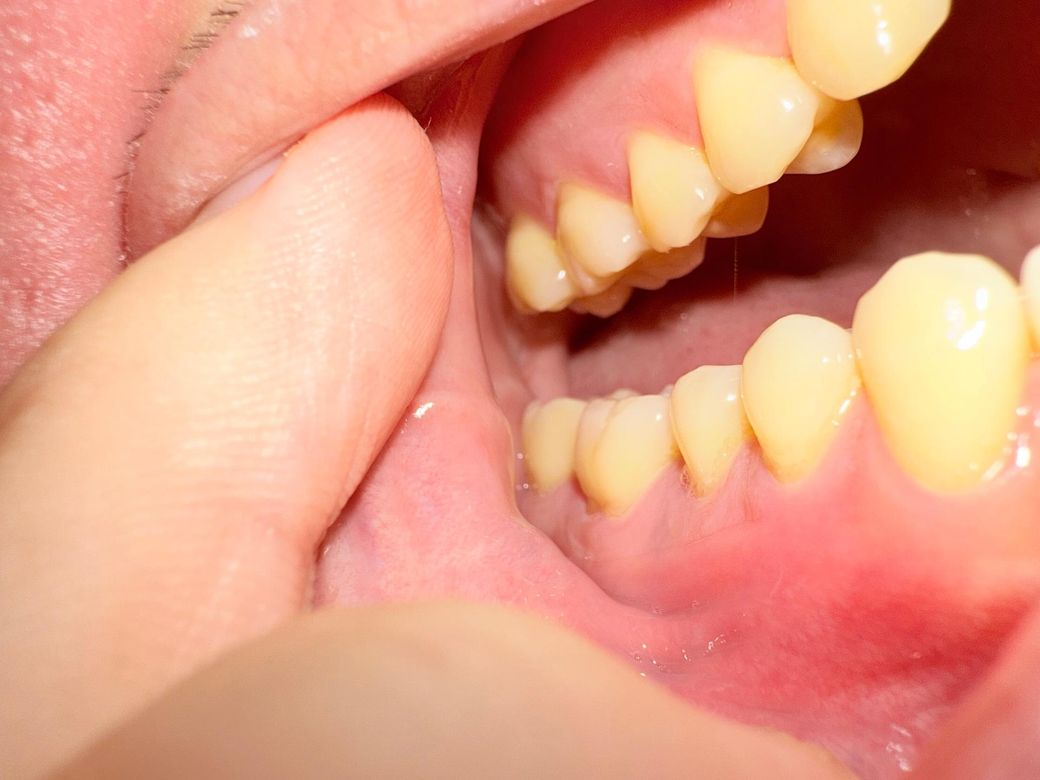
전체적으로 잇몸퇴축 현상이 있다고 진단받았습니다.

어금니쪽 시린이가 생겨서 건강검진 받을때 물어봤더니

잇몸퇴축 초기 진단 받았습니다.

양치질을 제가 평소에 세게 하는데 그게 주 원인이실거라고 설명해주셨습니다

칫솔질 칫솔 치약 전부다 교체해야 하며

어금니 쪽이 특히 더 내려갔다고 하십니다

전에 3년동안 다니던 치과에서는 이를 말해주지 않아서 인지를 못했다고 하니

그로인해서 생활습관 교정이 안돼서 대처가 좀 늦어졌다고 하셨습니다

그래서 다른 치과로 검진 한번 받아보러 가려고 하는데

이정도 상태면 지금부터라도 관리하면 진행도를 늦추거나

잇몸을 수복할 수 있을까요?

만약 지금 이 시린 상태가 없어지지 않는다면 수술을 받아야 하나요?

  • 1번 째 사진
  • 2번 째 사진
  • 3번 째 사진
  • 4번 째 사진
  • 5번 째 사진

3개의 답변이 있어요!

  • 김철진 치과의사

    김철진 치과의사

    가까운우리치과

    안녕하세요. 김철진 치과의사입니다.

    일단 양치를 너무 강하게 하지 마시고 아마 앞니의 교합이 깊어서 아래 치아 힘을 많이 받아서 잇몸이 퇴축되는거 같으니 교 합체크도 받아보시는게 좋을것같습니다.

  • 안녕하세요. 김지훈 치과의사입니다.

    잇몸이 내려간 것은 맞으나 수술이 필요한 정도까지는 아닌 것 같습니다. 관리 잘해주셔야 합니다

  • 안녕하세요. 최석민 치과의사입니다.

    1. 관리를 잘해주면 치은퇴축의 진행을 늦출 순 있습니다. 다시 회복되진 않습니다.

    2. 이 상태에서 잇몸 이식 수술은 불필요 합니다.

    3. 시린이 치약 쓰세요