아핫뉴스실시간 인기검색어
아핫뉴스 화산 이미지
화산 아이콘 11
美, 반도체 100% 관세
아하

의료상담

치아 관리

프로티인
프로티인

지금 꼭 잇몸치료를 해야하는 상황일까요?

안녕하세요.

원래 치아뿌리가 짧은 편이었는데 발치교정 후 더 짧아졌고, 잇몸뼈도 20대 후반인 나이에 비해 꽤 내려가 있는 편입니다. (매복어금니 견인, 뻐드러져있는 어금니, 재교정 등 시간이 많이 걸렸습니다.)

치과에 6개월 만에 정기검진 하러 갔더니 잇몸치료를 권하십니다. 나이대에 비해 안 좋으니 잇몸치료를 하며 관리해야 한다고 하십니다.

제가 느끼기에도 잇몸이 좋다고 생각하진 않지만, 양치시, 치간칫솔과 치실 사용 할때 피는 전혀 나지 않습니다. 교정 할때 어금니쪽이 안 좋아서 그쪽만 잇몸치료를 한적이 있습니다. 양치를 열심히 하고있고, 현재 피가 나지는 않지만, 치과에서 제 잇몸이 잘 붓는 편이라고 했습니다.

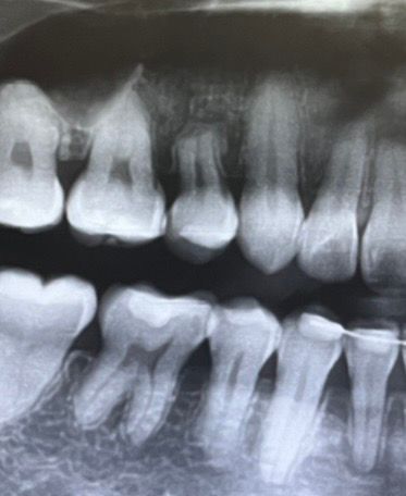
엑스레이를 보면 확실히 어금니와 아래 앞니는 많이 꺼진 것 같고, 송곳니쪽 부분은 덜 꺼져있는데.. 필요없는 곳을 잇몸치료하면 잇몸이 더 내려간다는 말을 어디선가 들어본적 있어 걱정이 됩니다.

잇몸치료는 치석을 제거해서 염증을 없애는 것 같은데, 만약 교정으로 인해서 잇몸뼈가 내려간거라면 꼭 잇몸치료가 필요한걸까요? 아니면 잇몸뼈가 내려간 원인 = 무조건 치석일까요?

현재 느끼기에 씹는 힘도 약해져 있는 상황인데, 한번 깨끗하게 잇몸치료 받는게 좋은 상황일까요? 괜히 잇몸 건드리면 더 내려갈까봐 걱정되어 질문해봅니다ㅠㅠ + 제일 좋지 않은 잇몸쪽 사진 같이 올려둡니다

  • 1번 째 사진
  • 2번 째 사진
3개의 답변이 있어요!
  • 안녕하세요. 최석민 치과의사입니다.

    잇몸뼈와 잇몸이 흡수되는 주요 요인은 분명 치석 침착이 맞지만 교정으로 인해 치아에 외력이 가해지는 경우도 잇몸뼈가 흡수됩니다

    잇몸치료를 꼭 해야한다 이런것보단 관리를 위해 정기적으로 스케일링 하시는거고 그래도 잇몸높이가 너무 낮아지면 잇몸 이식을 하게됩니다

    1명 평가
  • 안녕하세요. 장인아 치과위생사입니다.

    치석뿐만 아니라 교정으로 인해서도 잇몸뼈가 녹기도 하지만 잇몸치료로 잇몸이 내려가지는 않습니다. 연 1회 스켈링으로 잇몸관리가 되지 않아 잇몸치료로 관리가 필요해서 권유한것같습니다. 건강하세요.

  • 안녕하세요. 한성미 치과위생사입니다.

    잇몸치료를 한다고 잇몸뼈가 더 내려가지는 않습니다. 그러나 잇몸치료가 필요할 상태는 아닌 것으로보입니다. 아마 치과에서 보기에 질문자님의 잇몸이 안좋아서 스케일링을 자주하면 좋겠는데, 스케일링은 1년에 1회만 보험이 돼서 일부러 잇몸치료를 권한게 아닐까 싶습니다. 잇몸치료를 위한 준비로서의 스케일링은 연1회 스케일링과는 별도로 전체적으로 해도 보험이 되거든요.