아하
  • 토픽

  • 스파링

  • 잉크

  • 미션


의료상담

불같은코브라217

불같은코브라217

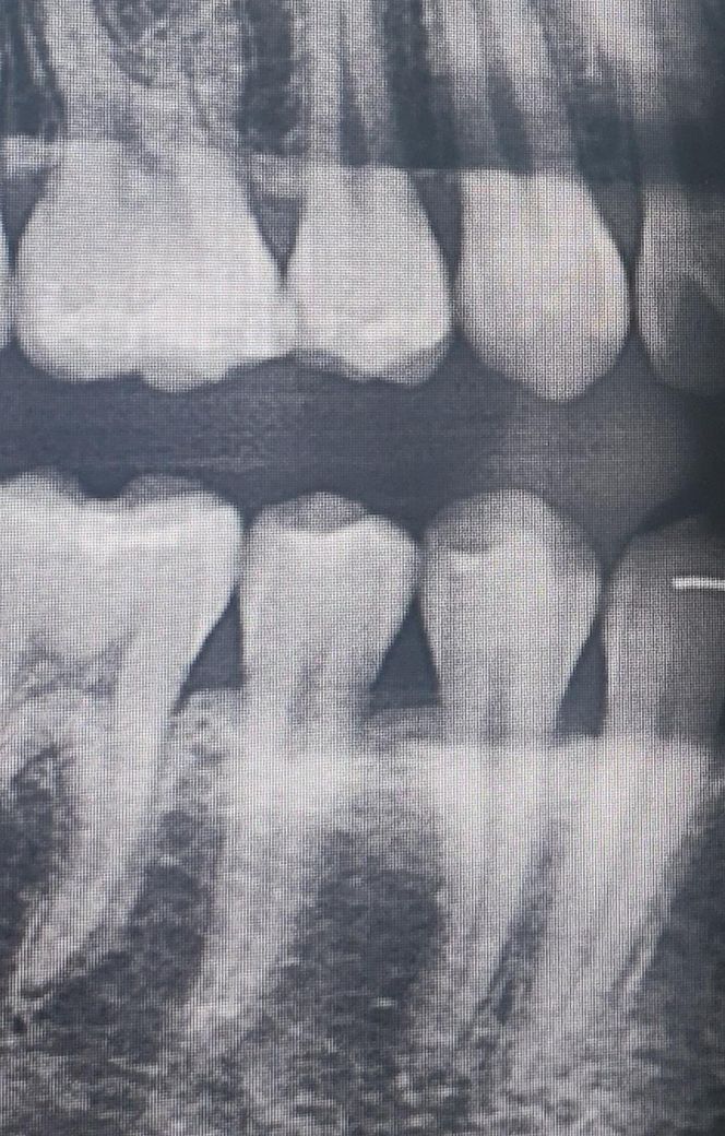
제 치아 풍치인가요? 확인해주세요ㅠㅠ

제 치아 풍치인가요? 요즘 자주 잇몸이 부어서요

특히 체크 표시된 소구치가 가장 신경쓰입니다.

엑스레이 사진 첨부합니다.

확인부탁드려요ㅠㅠ

  • 1번 째 사진

4개의 답변이 있어요!

  • 안상우 치과의사

    안상우 치과의사

    목동안치과의원

    안녕하세요. 안상우 치과의사입니다.

    풍치 등으로 인해서 치아가 흔들리기 위해서는 치조골이 많이 손상이 되어야 합니다. 사진으로만 봤을 경우에는 치조골이 많이 손상된거로 보이는 않습니다. 치조골을 건강하게 유지하기 위해서는 치아 주변에 있는 이물질을 양치질과 치실로 꼼꼼하게 제거를 해줘야 합니다.

  • 안녕하세요. 김철진 치과의사입니다.

    엑스레이 상으로는 잇몸뼈가 크게 문제가 잇어 보이진 않습니다. 양치가 잘안되는거 같으니 양치를 하실때 조금더 꼼꼼히 하시는게 좋을것같습니다.

  • 안녕하세요. 정진석 치과의사입니다.

    아직까지는 풍치라고 할 정도로 치조골이 나쁜 편은 아닙니다. 다만 계속해서 잇몸이 붓는다면 붓는 원인을 알고 해당 부위를 지속적으로 관리해주어야 더 큰 잇몸 질환으로 이어지는 것을 막을 수 있습니다. 따라서 왜 해당 부분이 붓는지 원인에 대한 평가를 받아보시길 바랍니다.

    아무쪼록 저의 답변이 문제 해결에 작게 나마 도움이 될 수 있기를 기원드립니다. 항상 건강하고, 행복하세요^^

  • 안녕하세요. 김지훈 치과의사입니다.

    잇몸이 붓는다고 풍치라고 하지는 않으며 아직 심하게 진행된 것으로 보이진 않습니다.

    관리 잘하면 될 듯 합니다.