아핫뉴스실시간 인기검색어
아핫뉴스 화산 이미지
화산 아이콘 11
이준석 특검 출석
아하

의료상담

치과

홀쭉한병아리60
홀쭉한병아리60

치주질환관련하여 질문합니다.(파노라마포함)

1. 30대 중반입니다. 치과에 가서 스케일링 받는데 잇몸이 나이에 비해서 많이 내려갔다고 합니다. 이정도면 어느정도 상태일까요?


2. 사랑니 바로 옆 어금니 잇몸이 많이 내려가서 이개부노출(?)로 나중에 문제가 될 수도 있다고 합니다. 안쪽으로 잇몸을 만져보면 다른쪽에 비해서 그 쪽 치아만 파인 것 같은데 이런 경우 조직유도재생술 같은 치료가 가능할까요? 아니면 다른 치료 방법이 있을까요?


3. 만약 조직유도재생술이 가능하다면 사랑니를 이용한 자가치아뼈 사용도 가능할까요?





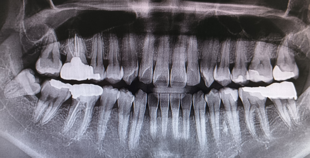
  • 1번 째 사진
3개의 답변이 있어요!
  • 안녕하세요. 정진석 치과의사입니다.

    1. 특별히 가장 문제가 되는 부분이 본인 기준으로 오른쪽 아래 사랑니 앞에 치아입니다. 사랑니에 의해서 치아에 충치도 생겼으나 잇몸도 상당히 많이 내려간 상태입니다.

    2. 조직유도재생술과 같은 술식은 임상에서 흔하게 하지 않으며 대부분 예후가 좋지 않으며 치은이식술 등을 하더라도 1년 이내에 조기탈락할 가능성이 있고 어금니와 같은 부위에 했을 때 예후가 좋지는 않습니다.

    3. 조직유도재생술과 사랑니치아를 이용하는 것은 별개이며 치아를 사용하는 것이 아닌 보통 입천장 잇몸을 떼어서 사용하게 됩니다.

    아무쪼록 저의 답변이 문제 해결에 작게 나마 도움이 될 수 있기를 기원드립니다. 항상 건강하고, 행복하세요^^

    정진석 치과의사 드림

  • 안녕하세요. 이정현 치과의사입니다.

    사진으론 뼈상태만 볼수잇고, 임상적인 검사는 할수없기 때문에 정확히 알 순 없습니다.

    뼈상태는 아주 나쁜편은 아니지만, 치근이개부병변이 있다면 좋진 않습니다.

    하지만 현재 GTR이나 GBR을 할만큼 잇몸뼈가 나빠보이진 않습니다. 이점에 대해선 해당치과에서 자세히 상담을 받아보시기 바랍니다. 감사합니다.

  • 안녕하세요. 전택근 치과의사입니다.

    1. 어금니 부위 일부 잇몸이 상대적으로 많이 내려가 있는 것으로 보이나 나머지 부분은 양호합니다.

    2. 조직유도재생술이라는 술식을 어디서 들으셨는지는 모르나 치주질환으로 인한 골소실의 경우 골이식을 통해 회복하는 것이 가능합니다. 하지만, 성공여부는 사람마다 차이가 있습니다. 이식 및 재생을 위한 술식을 하지 않는 다면 잇몸 치료를 지속적으로 받으면서 병의 진행이 더 이뤄지지 않게 막는 것이 최선입니다.

    3. 사랑니를 뽑아 골은행을 통해 자가 이식골로 사용하는 것이 가능합니다. 비용과 시간이 어느정도 소요되나 충분히 사용 가능한 것으로 알 고 있습니다.

    감사합니다.