아핫뉴스실시간 인기검색어
아핫뉴스 화산 이미지
화산 아이콘 11
김건희 1심 징역
많이 본
아하

의료상담

치과

독특한퓨마62
독특한퓨마62

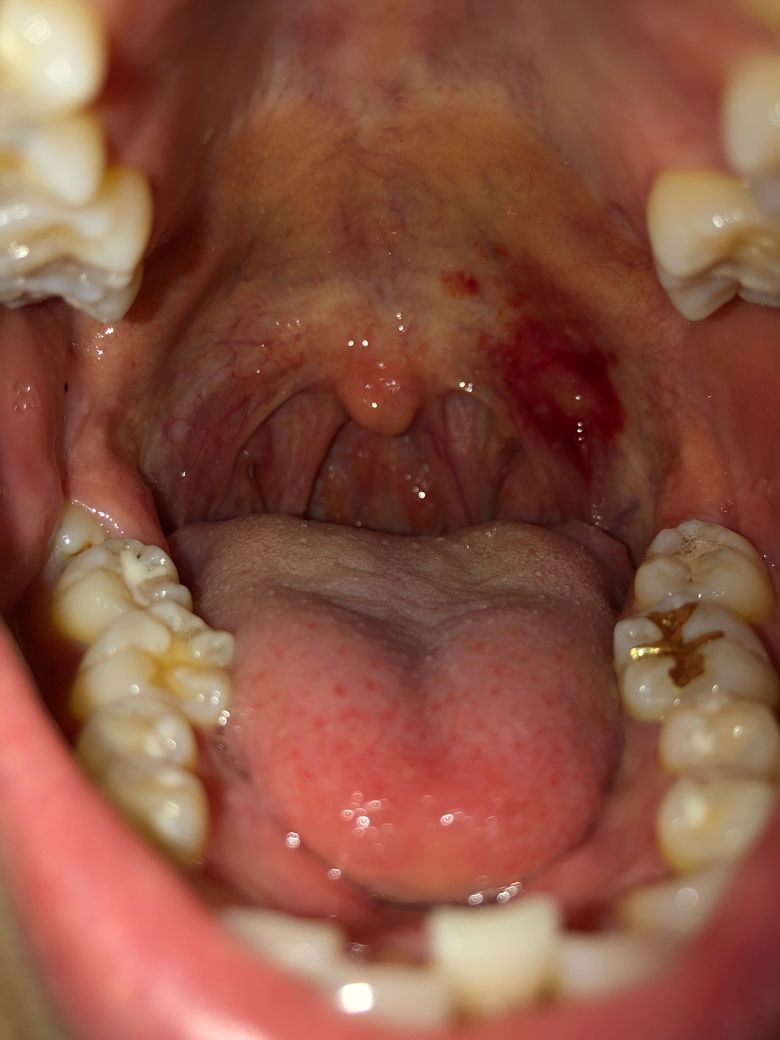
스케일링 석션에 피멍이 들었습니다

오늘 처음 스케일링을 받아봤는데

석션을 걸어두실때 입안이 자꾸 불편했는데 그냥 원래 그런가보다 하고 집에 와서 보니

그 자리에 이렇게 피멍이 들었네요… 이런 경우에는 어떻게 해야하나요?

치과에 뭐라고 해야할까요?

  • 1번 째 사진
6개의 답변이 있어요!
  • 안녕하세요. 송우식 치과의사입니다.

    입안에 생긴 상처의 경우 구강점막은 재생이 빠르기에 금방 아물게 되며 입안쪽의 염증 개선을 위해 가글사용이 도움을 줄수 있습니다.

  • 안녕하세요. 김철진 치과의사/경제·금융전문가입니다.

    석션이 목구멍쪽으로 가셔서 그런것같습니다. 자주 있는일은 아니지만, 가끔 발생할수 있습니다. 치과에 가셔서 말씀하셔도 되지만, 시간이 지나면 괜찮아 지는부분이라 크게 걱정은 안하셔도 될것같습니다.

  • 안녕하세요. 정진석 치과의사입니다.

    일시적인 자극에 의해 생긴 것으로 보여지며 특별히 통증이 크지 않다면 시간이 지나면 회복됩니다. 큰 상처거나 외상이 아니며 이정도는 음식 섭취로도 나타날 수 있는 정도입니다. 일주일이내에 사라질 것으로 보이며 2주 이상 해당 병소가 나타나거나 더 커진다면 이때는 치과 방문 후 검사를 받아보시길 바랍니다.

    아무쪼록 저의 답변이 문제 해결에 작게 나마 도움이 될 수 있기를 기원드립니다. 항상 건강하고, 행복하세요^^

    정진석 치과의사 드림

  • 안녕하세요. 이정현 치과의사입니다.

    치과치료시 석션을 필수적으로 해야하는데, 간혹 연조직에 상처가 나거나 발적이 되는경우도 있습니다.

    연조직은 민감한 조직이라, 조금만 자극이 되도 그렇게 되곤 합니다. 물론 건들지 않는게 가장 좋겟지만, 그것이 쉽진 않기 때문입니다.

    우선 치과에 얘길 해보시고, 주의해달라고 말씀하신다면 아마 다음부터는 조심할 것입니다. 감사합니다.

  • 안녕하세요. 안상우 치과의사/경제·금융전문가입니다.

    구강내 점막의 경우에는 상처가 나도 시간이 지나면 대부분 잘 아물기 때문에 해당부위를 자극하지 않는다면 큰 문제 없이 치유가 될것으로 생각됩니다.

  • 탈퇴한 사용자
    탈퇴한 사용자

    안녕하세요. 장인아 치과위생사입니다.

    시간이 경과하면 호전이 되지만

    많이 불편하시니 스켈링 받은 치과 방문해서 처치를 받는것도 좋을것 같습니다.

    2일에서 3일정도는 뜨겁고, 차갑고, 맵고, 질기고, 딱딱한 음식 산성 음식은 피하세요.

    도움이 되기를 바랍니다. 건강하세요.