아하
  • 토픽

  • 스파링

  • 잉크

  • 미션


의료상담

비상하는 올빼미862

비상하는 올빼미862

치과상담중 치아중심선 궁금증 질문이요!!!

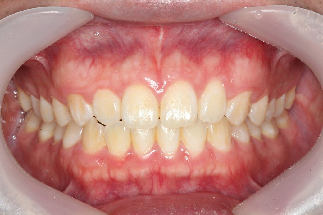
1. 치아중심선이 2mm정도 턱 뼈 비대칭이 3mm정도 틀어져있다는데 정상범주 인가요?

2. 치아교정하는 사람들보면 중심선을 맞추던데 비대칭있어도 그냥 맞추는 건가요?

3.어금니교합이나 저작에 이상없으면 중심선은 상관없는건가요?

  • 1번 째 사진
  • 2번 째 사진
  • 3번 째 사진

2개의 답변이 있어요!

  • 송우식 치과의사

    송우식 치과의사

    솔플란트치과 경기도 성남시 모란역

    안녕하세요. 송우식 치과의사입니다.

    치아 중심선이 2mm 정도 틀어져 있지만 이정도는 큰 문제되지 않습니다. 어금니 물리는 교합에 문제가 없으면

    그냥 지내셔도 됩니다. 교정한다고 하더라도 중심선 정확히 맞추기 어렵습니다. x-ray 골격 사진상으로도 이정도면

    거의 비대칭이 없다고 해도 무방합니다.

  • 안녕하세요. 정진석 치과의사입니다.

    1. 모든 사람이 완벽하게 좌우 대칭인 사람은 드뭅니다. 교정 등으로 인위적으로 맞추지 않으면 대부분 어느정도 틀어지며 2mm는 정상 범주에 속하게 됩니다.

    2. 원칙적으로는 좌우 대칭 중심선이 맞아야 하기 때문에 교정시에는 교정을 하나 정상범주 범위는 2mm로 완벽하게 맞지 않는 경우가 많습니다.

    3. 현재 턱이 좌측으로 canting 되어 있는 상태이기는 하나 외관상 크게 비대칭으로 보이지 않는다면 수술이나 교정의 대상이 아닙니다. 비대칭은 반드시 치료를 하는 것이 아니고 환자가 필요하다면 치료를 하게 됩니다. 즉 환자가 심미적으로 비대칭이라도 크게 문제를 느끼지 않는다면 병적 상태( 턱관절염)을 제외하고는 치료하지 않습니다.

    아무쪼록 저의 답변이 문제 해결에 작게 나마 도움이 될 수 있기를 기원드립니다. 항상 건강하고, 행복하세요^^

    정진석 치과의사 드림