아핫뉴스실시간 인기검색어
아핫뉴스 화산 이미지
화산 아이콘 11
뮤지컬어워즈 스타 포즈
많이 본
아하

의료상담

치아 관리

다소잠이많은야생마
다소잠이많은야생마

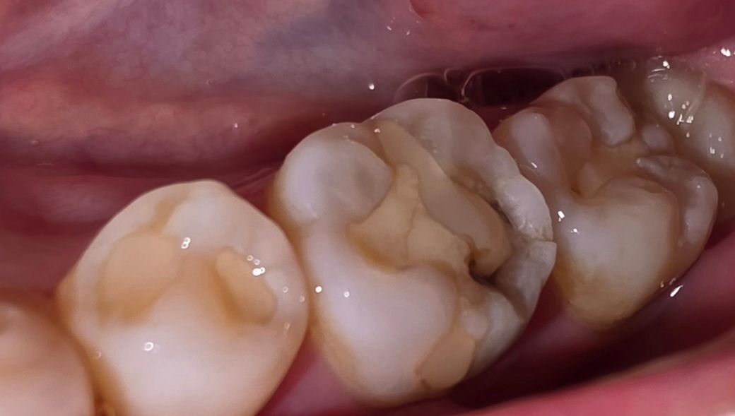
왼쪽 어금니 때운 부분 깨진 건가요??

육포를 씹다가 갑자기 왼쪽 아랫부분 어금니가 욱신거리고 너무 아파서 카메라로 보니까 때운 부분이 저렇게 되어있던데 혹시 치아에 금이 간 건가요? ㅠㅠ

  • 1번 째 사진
  • 2번 째 사진
  • 3번 째 사진
3개의 답변이 있어요!
  • 안녕하세요. 장인아 치과위생사입니다.

    떼운부위가 깨져보이고 안쪽으로 충치가 생겼을수도 있고 치아에 금이 갔을수도 있으니 치과에 내원하여 확인하면 좋을것같습니다. 빠른 회복 바라겠습니다. 건강하세요.

    1명 평가
  • 안녕하세요. 안상우 치과의사입니다.

    사진으로 봤을 경우에는 이전에 치과용 재료로 충전한 부분 주변에 충치가 생기면서 깨진 것으로 보입니다. 이런 경우 충치치료가 필요할 수 있습니다.

    자세한 확인을 위해서 치과에서 진료를 받아보는 것을 권유드립니다.

    1명 평가
  • 안녕하세요. 최석민 치과의사입니다.

    떼운 부위가 깨져나갔네요, 사진상으로 봐서 명확하진 않으나 깨져나간 부위 외에도 금이 간 것처럼 보이기도 합니다. 치과 가보시기 바랍니다.