의료상담
엑스레이 사진 첨부) 치과 진단으로 인레이 두 개 레진 세 개진단 받았습니다
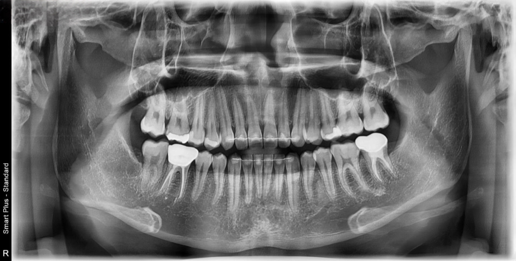
안녕하세요 치아에 관해 큰 돈이 깨진 기억이 있어 꾸준히 3개월마다 간단한 검진을 진행해 왔습니다. 이번에도 마찬가지로 3개월 가량이 되어 스케일링 및 검진을 위해 최근 개원한 치과에 초진을 보러 갔고 엑스레이 사진 상 왼쪽 위 앞쪽 뒷쪽 어금니에 인레이 치료 두 개 오른쪽 아래에 치아 마모된 부분은 레진 치료 진행해야 한다고 하시더군요 치아 번호로 말씀드리면 24번 27번 인레이 치료(필수) + 25,26번 레진(인레이 치료 도중 충치 발견시 레진 치료 가능성 높음) + 45번 치아 마모된 부분 레진 치료
이렇게 진단을 받았습니다. 제가 따로 보험도 없고 현재 복무중인 입장이라 한 달 월급보다 더 큰 비용이 치과로 나가야 한다는게 너무 두렵네요 ㅠㅜㅜ 3개월 마다 검진 및 스케일링도 꾸준히 관리 했는데도 충치가 발견되어서 속상합니다. 충치 치료에 관한 조언과 이 치아를 관리로 최대한 살려볼 수 는 없을지 아하 전문가님들의 조언을 구하고자 글 작성합니다. 참고로 위 치아들에서 통증은 전혀 느껴지지 않았고 45번 치아에 치과 바람 기계? 쏠 때만 시림을 느꼈습니다.
두서 없는 글 읽어주셔서 감사합니다 ( __ )
55글자 더 채워주세요.
1개의 답변이 있어요!
안녕하세요. 김철진 치과의사입니다.
엑스레이 상으로 충치가 엄청 깊어 보이거나 하지는 않습니다. 물론 충치치료의 판단은 엑스레이도 중요하지만 육안으로 직접보고판단을 해야됩니다. #45번의경우에는 바람에만 시리면 치경부 마모증일 가능성이 있습니다. 인레이의 경우에는 엑스레이만 보고는 판단하기는 어려울것같습니다.

