의료상담

치아 엑스레이 사진 질문 답변 부탁드립니다!

1. 사랑니: 다 매복입니다ㅠ 근데 아래 오른쪽 사랑니(사진 상 왼쪽)가 옆이빨이랑 겹쳐서 저렇게 나타난 건가요? 아님 썩거나 염증때문에 옆 부분이 하얗게 보이는 건가요?

윗 사랑니가 둘 다 너무 이빨 라인보다 훨씬 위쪽에 위치해있는데 옆 어금니들을 이미 밀고 있는 상태인가요?

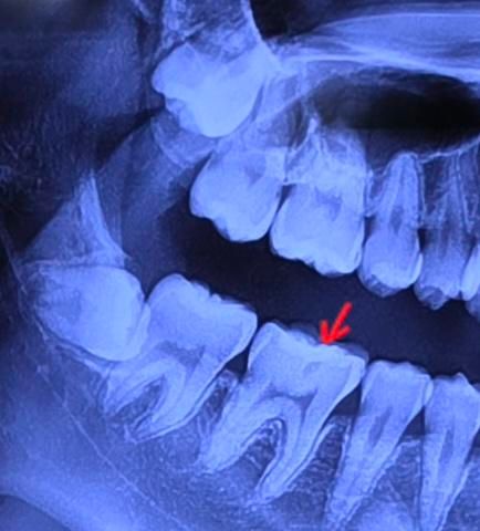
2. 빨간색 화살표한 부분에 안쪽이 충치인가요? 겉에서부터 썩은게 아니라 안쪽에서 썩어서 저렇게 보이는건가요?

이번주에 치과만 두번 갔는데 엑스레이 사진은 설명을 안해주시더라구요.. 바쁘셔서 한 분은 엑스레이 확인도 안 하신 것 같구.. 질문 외에 다른 문제가 보인다면 말씀 부탁드립니다..

  • 1번 째 사진
  • 2번 째 사진

2개의 답변이 있어요!

  • 안녕하세요. 최석민 치과의사입니다.

    파노라마 사진은 입체를 2d로 표현하기 때문에 다양한 중첩과 왜곡이 발생합니다

    1)아래 사랑니는 각도상 앞쪽으로 튀어나와서 그런거지 썩어서 그렇게 보이는건 아닌 것 같습니다

    2) 사랑니 맹출력은 20대 초반이면 거의 끝납니다

    3) 안쪽에서부터 썩진않고요 어딘가 밖에서부터 썩은겁니다

    채택 보상으로 361베리 받았어요.

    채택된 답변
  • 안녕하세요. 안상우 치과의사입니다.

    찾기는 보이는 부분이 음영으로 보이는 것은 충치가 있어서 그럴 수도 있지만 이 자리에 충치를 치료한 재료가 방사선 투과성이 있어서 보이는 것일 수도 있습니다.

    정확한 확인을 위해서는 유관상으로 확인을 하는 것이 좋을 거라 생각합니다.

    자세한 확인을 위해서 병원에서 진료를 받아보는 것을 권유드립니다.