아하
  • 토픽

  • 스파링

  • 잉크

  • 미션


의료상담

많이협력하는칼국수

많이협력하는칼국수

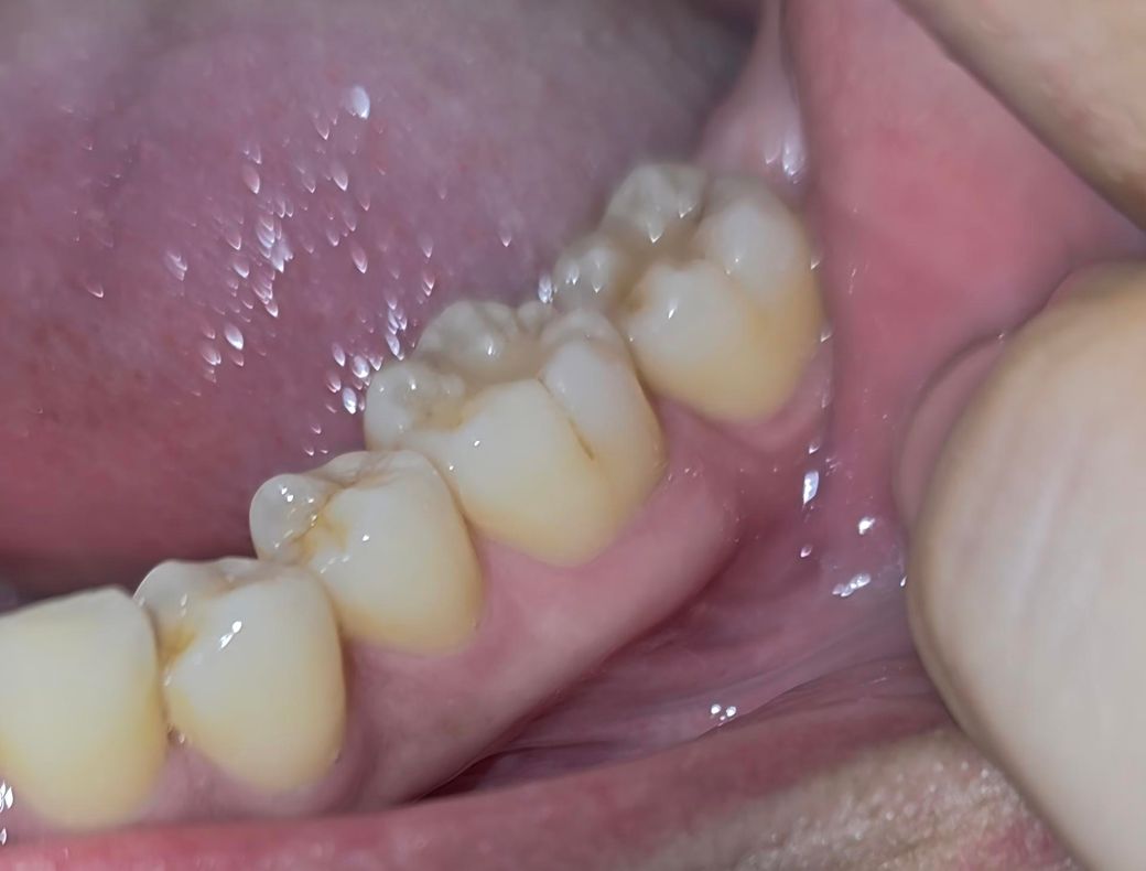
어금니 잇몸 퇴축 심한가요?? ?????

유독 맨끝 어금니쪽 워터픽으로 하면 아픕니다. 혹시 잇몸퇴축이 심한가요?? 최근에 잇몸치료했는데 별말씀없긴했어요 ㅠㅠㅠㅠ

  • 1번 째 사진
  • 2번 째 사진

3개의 답변이 있어요!

  • 한성미 치과위생사

    한성미 치과위생사

    제주관광대학교

    안녕하세요. 한성미 치과위생사입니다.

    잇몸퇴축이 심한 편은 아닙니다. 다만 큰어금니 2개끼리 단차가 있어 다른 부분에 비해서 비교적 음식물이 잘 끼이고, 닦기도 쉽지 않아 잇몸이 좀 더 잘 붓는 것 같습니다. 워터픽보다는 치실이나 치간칫솔 등 직접적으로 음식물과 치태를 제거할 수 있는 용품을 사용하시면 좋을 것 같습니다.

  • 안녕하세요. 장인아 치과위생사입니다.

    맨끝 치아의 잇몸퇴축이 있지만 심해 보이지는 않습니다. 워터픽의 수압을 낮춰서 사용하는것을 권유드립니다. 건강하세요.

  • 안녕하세요. 최석민 치과의사입니다.

    잇몸 퇴축은 그닥 심하지 않습니다

    어금니 이전에 떼운부위 하방 충치 의심되니 치근단 엑스레이 찍어보시기 바랍니다