아핫뉴스실시간 인기검색어
아핫뉴스 화산 이미지
화산 아이콘 11
비트코인 강화 프로젝트
많이 본
아하

의료상담

치과

갈수록기쁜하늘다람쥐
갈수록기쁜하늘다람쥐

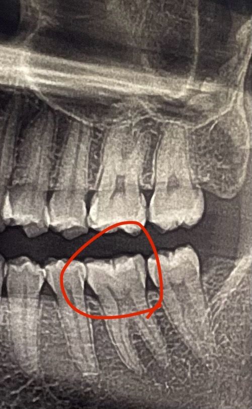
이 부분에는 아무런 문제가 없는 걸까요...

오늘 치과 갔다왔는데 이부분에 충치가 있을 거라고 생각했는데 예상 외로 다른 곳에 충치가 있다고 해서 치료 받고 왔어요 의사선생님께 여쭤본다는 걸 너무 긴장해서 못 물어보고 그냥 나왔는데 여기엔 아무런 문제가 없나요...?

  • 1번 째 사진
4개의 답변이 있어요!
  • 안녕하세요. 정진안 치과 전문의입니다.

    충치가 진단이 생각보다 어려워요
    심한 충치면 모르겠는데 간단한 충치는 엑스레이에 안보이는 경우도 있고 애매한 경우도 있어서
    직접 보고 진단하신 원장님이 괜찮다 하셨으면 괜찮을거니 넘 걱정 안하셔도 될겁니다!
    며칠 차이로 갑자기 커지거나 하진 않을거니까, 다음 검진 때 문의드려보시면 답변 해주실거에요 ^^

  • 안녕하세요. 김철진 치과의사입니다.

    엑스레이 상으로는 충치가 잇는것처럼 보이지만 치료를 한곳의 재료 때문에 저렇게 보이는 경우가 있습니다. 아마 충치엿다면 육안으로도 보엿을꺼에요.

  • 안녕하세요. 안상우 치과의사입니다.

    방사선사진상으로는 정확한 확인이 어려워 보입니다.

    뒤에 부분에 파절이 보이는것 같기도 하지만 정확한 확인을 위해서는 육안으로 확인해야 합니다.

  • 안녕하세요. 김지훈 치과의사입니다.

    충치의 가능성은 있어보이지만 위 사진 하나만 가지고는 진단을 하기에는 무리가 있어보입니다.