아핫뉴스실시간 인기검색어
아핫뉴스 화산 이미지
화산 아이콘 11
부탄 비트코인 GMC 투자
아하

의료상담

치아 관리

풋풋한무당벌레288
풋풋한무당벌레288

앞니 충치인 것 같나요? 빠른 답변 부탁드립니다 ㅠㅠ

병원에서는 아무 말도 없으셨는데, 잇몸 통증인지 자꾸 무겁고 우리하게 아프고 불안해서 질문합니다

앞니 레진은 충치 치료 아니고 미용목적이었습니다

빠른 답변 부탁드립니다

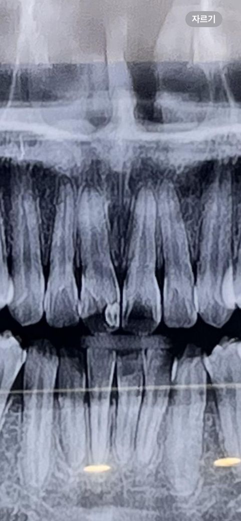
  • 1번 째 사진
2개의 답변이 있어요!
  • 안녕하세요. 김철진 치과의사입니다.

    예전에 치료를 하신거 같습니다. 다른 곳에문제가 없는데 아프시다면 예전에 치료한곳 안쪽에서 다시 충치가 생겨서 그럴가능성이 높습니다

  • 안녕하세요. 안상우 치과의사입니다.

    사진으로 봤을 때 레진 충전 부위 주변으로 방사선 음영이 보입니다.

    이런 경우에는 레진을 따라서 충치가 생겼을 가능성이 있어요.

    정확한 확인을 위해서는 직접 눈으로 확인을 하는 것이 좋습니다 자세한 확인을 위해서 치과에서 진료를 받아 보세요.