아하
  • 토픽

  • 스파링

  • 잉크

  • 미션


의료상담

은근히안정된연예인

은근히안정된연예인

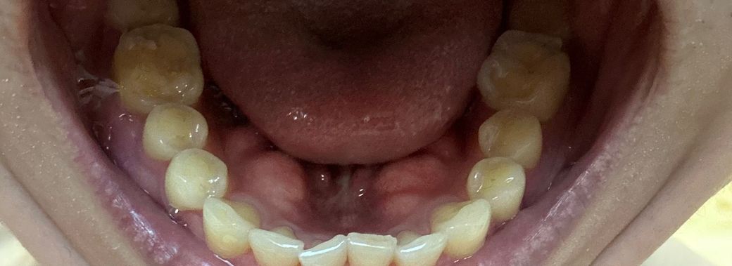
혀밑 흰색 덩어리? 이빨뿌리? 정체가 뭔가요

흰색 혹같은게 돌출되어있는데 이빨뿌리인가요?

통증은 없어요

예전부터 계속 있었던거 같은데

크기가 더 커진거 같기도 하고

정체가 궁금합니다

  • 1번 째 사진

2개의 답변이 있어요!

  • 김철진 치과의사

    김철진 치과의사

    가까운우리치과

    안녕하세요. 김철진 치과의사입니다.

    쉽게 말해서 잇몸뼈가 튀어나온겁니다. 개인차이가 잇어서 튀어 나온사람도 잇고 없는 사람도 있습니다.

  • 안녕하세요. 최석민 치과의사입니다.

    정상해부학적 구조입니다. mandibular torus라고 하는 골 증식 양상입니다. 씹는힘이 강할 경우 더 자라기도 합니다.