아핫뉴스실시간 인기검색어
아핫뉴스 화산 이미지
아하

의료상담

치과

목마른비둘기143
목마른비둘기143

치아교정 해야될까요? 사랑니는 어떻게 해야할까요?

20대 후반 남성입니다. 충치 치료를 받아본 적은 없고, 위쪽의 오른쪽 사랑니 때문에

식사를 하다가 볼을 자주 씹게되고, 그래선지 몇달에 한 번씩 부은 적이 있습니다.

가족력은 아버지가 치열이 고르고 충치가 없고, 어머니는 치열이 고르지 않고 충치가 많습니다.

동생도 치열이 고르지 않고 충치는 없습니다.

치아교정을 생각하게 된 계기는 지인의 권유인데, 교정을 받아도 괜찮을지 궁금합니다.

교정을 할 때 사랑니를 미리 발치하는 편이 낫나요? 아니면 그냥 두는 편이 나을까요?

사랑니를 안 뽑고 살아도 지장은 없을까요? 3개는 전부 잇몸 안쪽에 있는 거 같은데 문제가 없을지..

그리고 위쪽의 오른쪽 사랑니 때문에 주기적으로 붓는 건 그냥 둬도 괜찮을지 모르겠어요.

감사합니다

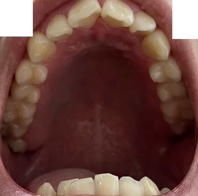
  • 1번 째 사진
  • 2번 째 사진
  • 3번 째 사진
  • 4번 째 사진
  • 5번 째 사진
  • 6번 째 사진
3개의 답변이 있어요!
  • 안녕하세요. 정진석 치과의사입니다.

    교정을 시작했다면 사랑니는 발치하는 것이 좋습니다. 사랑니를 안 뽑아도 지금은 문제가 되지 않겠지만 추후 문제를 일으킬 가능성이 매우 큽니다. 또한 이미 위쪽 오른쪽 사랑니는 주기적으로 붓는다는 것은 관리가 되지 않으므로 발치하는 것이 맞습니다.

    아무쪼록 저의 답변이 문제 해결에 작게 나마 도움이 될 수 있기를 기원드립니다. 항상 건강하고, 행복하세요^^

    정진석 치과의사 드림

  • 안녕하세요. 김철진 치과의사입니다.

    사진상으로 보면 치열등에 크게 문제가 잇어 보이진 않습니다. 교정은 환자분의 선택하시면될것같고, 사랑니 발치 여부도 교정진단을 먼저 받아보시는게 좋을것같습니다.

  • 탈퇴한 사용자
    탈퇴한 사용자

    안녕하세요. 장인아 치과위생사입니다.

    인접치의 손상, 지치주위염, 치아우식증, 치아낭종 등의 소지가 있는 사랑니는 먼저 발치를 하는 것이 좋습니다..교정은 가능할수 있으나 선택사항입니다.

    도움이 되기를 바랍니다. 건강하세요.