아하
  • 토픽

  • 스파링

  • 잉크

  • 미션


의료상담

진짜로비싼갈비찜

진짜로비싼갈비찜

구내염 시간대 별로 증상 악화되는건가요 호전되는 건가요?

성별

남성

나이대

20대

아픔 강도는 비슷합니다

열같은건 없고 구내염이랑 편도염 항생제 복용중입니다

왼쪽이 어제 저녁 두번째 사진이 오늘 아침

세번째가 현재 입니다

악화되고있는건지 호전 되고있는건지 알 수가 없어서 글 남깁니다

설이라 이비인후과가 안여는데 자연치유 기다리는 것 밖에 없나요?

  • 1번 째 사진
  • 2번 째 사진
  • 3번 째 사진

3개의 답변이 있어요!

  • 최성훈 내과 전문의

    최성훈 내과 전문의

    고려병원

    안녕하세요. 최성훈 내과 전문의입니다.

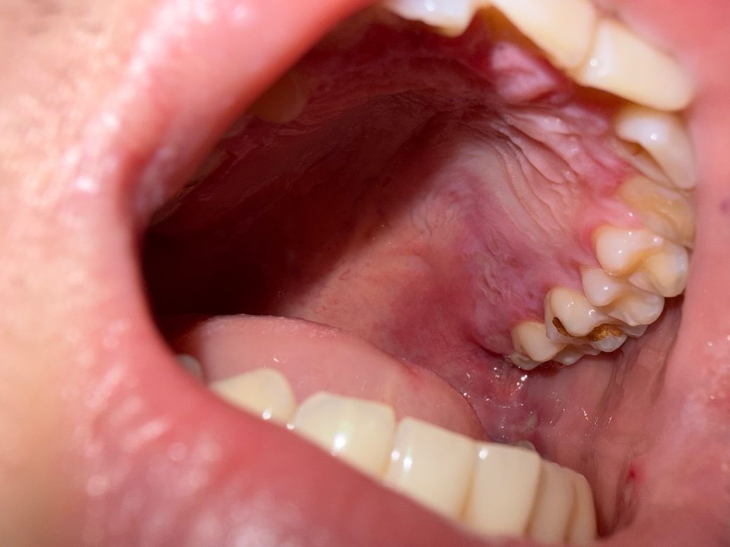
    올려주신 사진에서 목 젖 주변이 첫 번째 사진 외 잘 찍히지 않아 호전 여부의 평가가 어렵습니다.

    편도염에 대해 처방된 약에 진통제가 포함됐는지 확인하고 회복을 위해 충분한 휴식과 균형 잡힌 영양을 섭취하고 회복을 지연 시킬 수 있는 음주, 흡연, 카페인, 자극적이거나 지나치게 뜨거운 음식의 섭취는 피할 것을 권합니다.

  • 안녕하세요. 서민석 의사입니다.

    목젖 부위가 2, 3번 사진에서는 나와 있지는 않으니 전반적으로 호전되었는지 알기는 다소 어렵습니다. 오른쪽 아래 1개 있는 것은 변화를 볼 수 있는데, 큰 호전은 없는 것 같아요. 가장 중요한 것은 증상의 호전입니다. 안 아프면 좋아지고 있는 것이라고 볼 수 있지요.

  • 사진상으로는 연구개와 구개궁 주변에 국소적인 발적과 작은 궤양성 병변이 보입니다. 전형적인 아프타성 구내염(apthous ulcer) 또는 경미한 바이러스성 인두염에서 흔히 보이는 소견과 유사합니다. 농성 삼출물이나 편도 비대, 뚜렷한 화농성 소견은 두드러지지 않습니다.

    구내염은 시간대에 따라 뚜렷하게 악화·호전이 반복되는 질환은 아닙니다. 하루 중 통증 강도는 침 분비, 음식 자극, 피로도에 따라 달라질 수 있으나 병변 자체가 몇 시간 단위로 급격히 나빠지거나 좋아지는 경우는 드뭅니다. 일반적으로 1일에서 2일 사이 크기와 통증이 증가한 뒤 7일에서 14일 사이 자연 호전되는 경과를 보입니다.

    사진 비교상 급격한 진행이나 궤양 확대, 화농성 변화는 뚜렷하지 않아 명확한 악화로 보이지는 않습니다. 현재 통증 강도가 비슷하고 발열이 없다면 급성 세균성 편도염 가능성은 낮아 보이며, 이미 항생제를 복용 중이라면 추가적인 항생제 증량이나 변경이 즉시 필요한 상황으로는 보이지 않습니다.

    연휴 동안에는 대증 치료가 원칙입니다. 자극적인 음식 회피, 충분한 수분 섭취, 국소 마취 성분이 포함된 가글 또는 스테로이드 구강 연고(치과·이비인후과 처방)가 도움이 될 수 있습니다. 통증이 심하면 비스테로이드성 소염진통제 복용도 고려할 수 있습니다.

    다만 다음과 같은 경우에는 연휴 중이라도 응급실 내원 권고드립니다. 고열이 새로 발생하는 경우, 삼킴 곤란이 심해 수분 섭취가 어려운 경우, 편도 주위 종창으로 한쪽으로 밀리는 양상(편도주위농양 의심), 2주 이상 호전 없이 지속되는 경우입니다.