아하
  • 토픽

  • 스파링

  • 잉크

  • 미션


의료상담

충분히현대적인마카롱

충분히현대적인마카롱

채택률 높음

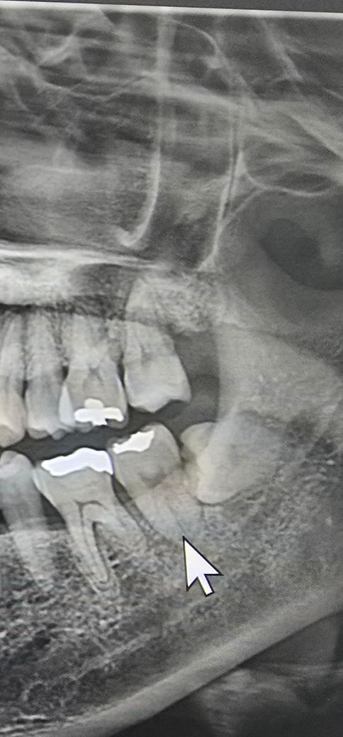
사랑니 발치후 어금니 상태가 좋지않아요

매복사랑니가 잇몸속에 있었는데 벌어지기 시작해서 관리차원으로 뽑았어요.

1월 19일에 발치하여 지금 5주차인데

발치옆 어금니가 약 일주일전부터 차가운물에 시리더니 그주변 통증이 와서 어제 발치한 치과에 내원을 했습니다. 맨 안쪽 아래 위 어금니가 3도로 흔들린다구요. 사진은 찍지않았고 발치한곳이 아직 아물지않아서 견딜수 있음 좀더 지켜보고 뜨거운물에 반응하면 바로 내원하라구요.

문제는 어제 건들여서 그런지 통증부위가 넓어졌습니다 귀아래쪽과 뒷통수까지요 통증은 못견딜 정도는 아니고 아직 진통제로 다스려져요. 이제 연휴가 들어가는데 내일 다른 치과도 가봐야하는지 아니면 약으로 견뎌봐야하는지 지금 바로 치료를 들어간다면 혹시나 자연적으로 좋아질수 있는 기회를 놓칠까봐 의견 여쭙니다.

가만히 있는 치아 괜히 뽑은듯해 후회하는 40대중반입니다.

  • 1번 째 사진

2개의 답변이 있어요!

  • 최석민 치과의사

    최석민 치과의사

    강원도 원주의료원

    안녕하세요. 최석민 치과의사입니다.

    매복 사랑니 때문에 이미 뼈가 많이 녹은 상태이고 발치 후 맨 끝 어금니의 동요도가 생기는 건 어찌보면 예견된 일인 것 같습니다

    아마 발치 전 고지가 되었을 것 같고요

    현 상태에서는 진통제 드시고 증상이 괜찮아지는지가 중요할 것 같습니다

    치주,치아신경 복합 병소의 경우 약 먹어도 증상이 개선되지 않고 바로 치료를 들어가야 하는 경우가 많습니다.

    채택된 답변
  • 안녕하세요. 정진석 치과의사입니다.

    사진상으로 보았을 때 뒤쪽 사랑니를 뽑고 나면 앞에 있는 어금니쪽 뒷 뿌리가 그대로 바깥으로 노출될 것으로 보입니다. 이러한 경우에는 신경치료 이후 씌우는 치료까지 고려해야 하나 현재 3도 이상의 동요도가 있다면 치아를 뽑아야 할 수도 있습니다. 또한 통증이나 불편감이 너무 심하므로 약을 드셔도 증상이 호전되지 않는다면 빨리 다시 치과를 가는 것이 맞습니다.