의료상담
55글자 더 채워주세요.
2개의 답변이 있어요!
안녕하세요. 김지훈 치과의사입니다.
뿌리 상태를 한번 봐야 알 수 있습니다. 보통은 문제가 되지 않으니 교정치과 가보시면 됩니다.
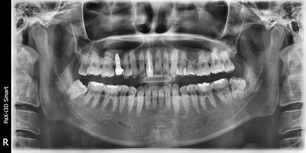
안녕하세요. 김철진 치과의사입니다.
신경치료를 한 치아도 교정은 가능합니다. 단 임플란트를 하신게 잇는데 임플란트는 교정을 하는게 어려워서 일단은 상담을 받아보시는게 좋을것같습니다.


안녕하세요. 김지훈 치과의사입니다.
뿌리 상태를 한번 봐야 알 수 있습니다. 보통은 문제가 되지 않으니 교정치과 가보시면 됩니다.
안녕하세요. 김철진 치과의사입니다.
신경치료를 한 치아도 교정은 가능합니다. 단 임플란트를 하신게 잇는데 임플란트는 교정을 하는게 어려워서 일단은 상담을 받아보시는게 좋을것같습니다.