아하
  • 토픽

  • 스파링

  • 잉크

  • 미션


포근한날다람쥐114

포근한날다람쥐114

강아지 십자인대 파열로 볼 수 있나요? (엑스레이 첨부)

반려동물 종류

강아지

몸무게 (kg)

7

중성화 수술

1회

안녕하세요

강아지가 갑자기 아파해서

5일 간격으로 엑스레이를 찍었어요

첫 진료 당시 십자인대 부분 파열이라고 했는데

5일후 진료는 십자인대는 애매하고 슬개골 2기로 수술 권유 받았어요

십자인대는 열어봐야 알 것 같다고 하셨고요

십자인대는 자연 회복이 불가하다고 알고있습니다.

고민 고민하다가 질문드려봅니다.

첫번째 진료는 십자인대 부분파열로 볼 수 있고

두번째 진료 엑스레이 상으로는 잘 안보이는것이 맞나요?

일주일 후 다시 엑스레이를 찍어봐야 할지.. 수술을 진행해야할지 고민이에요

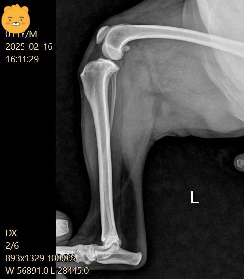
(첫번째 진료)

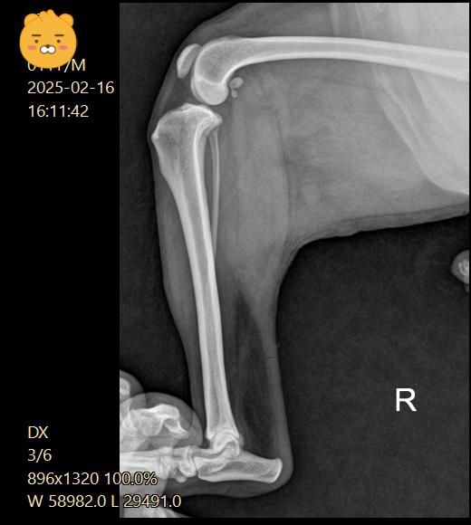
(두번째 진료)

1개의 답변이 있어요!

  • 이은수 수의사

    이은수 수의사

    프리랜서

    안녕하세요. 이은수 수의사입니다.

    우측 관절낭이 좌측에 비해 종창 되어 관찰되고 경골 경사면 각도가 비교적 크게 관찰되어 십자인대에 손상이 있을 가능성이 있는 사진입니다. 이를 확인하기 위해서는 MRI 촬영이 필요하지만 현실적인 검사 방법은 아니라 추정일 뿐입니다. 하지만 방사선학적 관점에서 십자인대의 인장성 손상은 합리적인 추론입니다.