아하
  • 토픽

  • 스파링

  • 잉크

  • 미션


의료상담

진짜로친화적인계란말이

진짜로친화적인계란말이

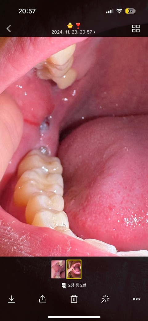
잇몸을 씹었는데 볼쪽 잇몸에 하얀색 이건 뭔가요??

어금니로 볼쪽을 씹었는데 잇몸이 찢어지며 매뵥사랑니 위쪽에 하얀색부분이 나온거 같은데 병명과 치료과정이 궁금합니다

매복사랑니 위쪽 피 중앙에 맺혀있는 부분

  • 1번 째 사진

2개의 답변이 있어요!

  • 송우식 치과의사

    송우식 치과의사

    솔플란트치과 경기도 성남시 모란역

    안녕하세요. 송우식 치과의사입니다.

    잇몸 씹기로 인해 생긴 손상으로, 잇몸 조직이 부풀거나 하얗게 변색될 수 있습니다. 해당부위 염증이 덧나지 않도록 소독용 헥사메딘 가글액으로 가글을 하여 관리를 하길 권하며, 해당부위가 붓고, 통증이 악화된다면 치과에 방문하여 상태를 확인해보길 권합니다.

    만족스러운 답변되셨으면 합니다.

    <평가> 감사합니다.

  • 안녕하세요. 김철진 치과의사입니다.

    별다른 병명이 잇는게 아니라 볼살이 씹히면서 생긴 상처라고 생각하시면됩니다. 그냥 구내염이라고 생각하시면될것같습니다.