아하
  • 토픽

  • 스파링

  • 잉크

  • 미션


의료상담

눈에띄게신비로운대나무

눈에띄게신비로운대나무

인레이 치료 환불 및 재치료 가능여부 2

글재주가없어서 다시작성 해봅니다!!

1.인레이는 골드로 진행하였고 치료받은지 2개월 지났습니다.

2.A치과에서왼쪽 사랑니 발치후 당일날 인레이치료하였구요.

3.1개월후 직장때문에 B치과를 방문에서 오른쪽 사랑니 발치전에 x레이 찍으며 a치과에서 치료받은 어금니를 말하며(왼쪽사랑니 발치전 맞다은 곳) 왜 이곳까지 인레이 치료받지 않았냐 라고하셨습니다.( X레이상 으로 제가봐도 검게 파여있는부분이 있습니다)

4.이에 다시 A치과에 가서 인레이치료가 된것이 맞냐 라고 물으니 삭제를 최소한으로하고자했다며 f/u하면서 지켜보던지 아님 크라운을 하던지 라고하셨는데... 제생각엔 2~3개월만에 크라운얘기가 나올정도면 치료가 잘못된게 아닌지 생각이듭니다.

5. 환불 또는 재치료가 가능한지 아하에 계신 선생님들의 고견을 듣고자합니다

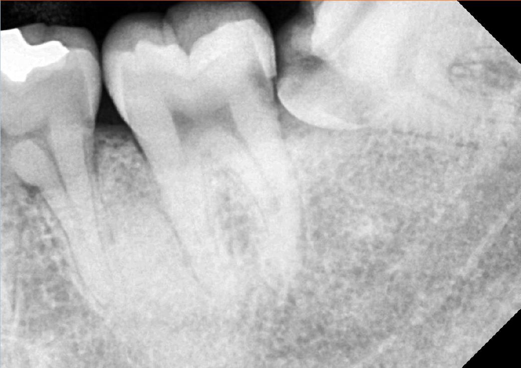
6.치료 전 사진

7.치료 후 사진

  • 1번 째 사진
  • 2번 째 사진

4개의 답변이 있어요!

  • 김철진 치과의사

    김철진 치과의사

    가까운우리치과

    안녕하세요. 김철진 치과의사입니다.

    엑스레이 상으로 저부위 충치를 제거하지 않은거라면 다시 치료를 하셔야될것같습니다. 사랑니 때문에 저부위에 충치가 생기면 신경치료를 해야될 가능성이 높습니다.

  • 안녕하세요. 김지훈 치과의사입니다.

    환불 또는 재치료 부분은 해당 치과와 얘기를 해봐야겠으나 아마도 가능하지 않을까 생각합니다.

  • 안녕하세요. 안상우 치과의사입니다.

    사진으로 봤을 경우에는 인레이 치료를 하고 나서도 하방에 충치가 남아있는 것으로 보이긴 합니다.

    경우에 따라서 방사선 투과성이 있는 재료를 충전했을 경우에 해당 부위가 비어 있는 것처럼 보일 수도 있습니다. 충치가 내부에 남아 있다면 인레이를 제거하고 크라운 치료 등을 하는 것이 좋을 수 있습니다. 치료비 환불 등에 대한 내역은 해당 치과에 문의를 해야 정확할 것으로 생각됩니다.

    정확한 확인을 위해서 치과에서 진료를 받아보는 것을 권유 드립니다.

  • 안녕하세요. 최석민 치과의사입니다.

    현재 치료 후 사진을 봤을때 씹는면만 충치제거하고 인레이가 접착되어 있고 옆면(인접면)은 충치가 그대로 있는 것으로 보입니다.

    아직 인레이 치료받은지 오래 지나지 않았기 때문에 다시 같은 치과에서 인레이 또는 크라운 치료를 할 경우 비용은 일부 보전받으실 수 있을 것 같으나 이는 치과마다 좀 다르긴 합니다.