아하
  • 토픽

  • 스파링

  • 잉크

  • 미션


의료상담

탈퇴한 사용자

탈퇴한 사용자

입천장 구내염발생 원인이 궁금합니다

성별

남성

나이대

24

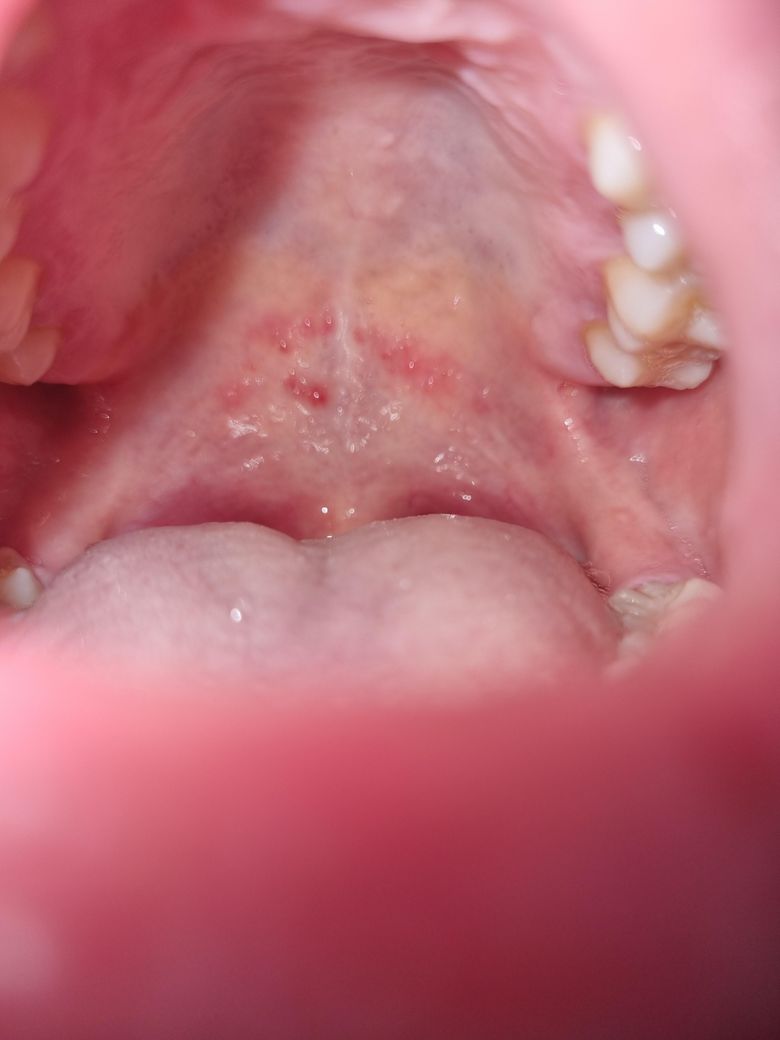
관계 중 구강성교도 했는데 후에 1시간 후? 입천장에 이물감이 느껴졌고, 이상하게 여겨 보니까 수포같이 올라와 있었습니다.. 여러가지 알아보니까

헤르페스성 감염 (근데 입술말고 입천장만 수포)

단순자극

연쇄상구균

Hpv(잠복기때문에 가능성없음)

다른 세균이나 바이러스

피곤해서?

등 인거같은데, 일단 저는 이물감이 있고 통증은 딱히 없으며 열도 없구요. 입안에 입천장 저기 말고는 따로 난곳이 없습니다 입술주변도 없음.

하지만 목이 답답한 느낌이들게 부어있어요.

토요일 관계직후 발생~ 현재 화요일 이네요 ㅜ 이비인후과 가보니 잘 모르겠다 하셔서요, 조직검사하기엔 돈이 없어서 증상과 사진으로 대충 알아보고싶습니다 ㅜㅜ

  • 1번 째 사진

1개의 답변이 있어요!

  • 김수비 의사

    김수비 의사

    QUB

    안녕하세요. 김수비 의사입니다.

    사진으로는 정확한 진단 불가능하며 병원 방문하셔서 직접 육안으로 진료 보셔야 합니다

    입천장에 수포가 생긴 증상은 여러 가지 원인에 의해 발생할 수 있습니다. 구강 내 수포는 헤르페스, 단순 자극, 연쇄상구균 감염 등으로 나타날 수 있으며, 때로는 피로와 스트레스가 면역력에 영향을 주어 이런 증상을 유발하기도 합니다. 입천장에만 수포가 나타났다면 헤르페스 성 감염은 가능성이 있지만, 주로 입술 부위에서 발생하는 경향이 크므로 다른 원인일 수도 있어요

    목이 답답한 느낌이 동반된다면 인후염이나 감염이 의심될 수 있지만, 열이 없고 통증이 없다면 감염의 가능성은 상대적으로 낮아 보입니다.

    이런 증상은 여러 가지 요인으로 발생할 수 있으며, 조직검사가 필요하다면 피하시면 안되구요 일단 증상이 지속되거나 악화된다면 병원을 다시 방문하여 보다 정확한 진단을 받는 것이 중요합니다.