아핫뉴스실시간 인기검색어
아핫뉴스 화산 이미지
아하

의료상담

치과

탈퇴한 사용자
탈퇴한 사용자

입천장에 빨간 수포 발생했는데 원인이 궁금합니다.

관계 중 구강성교도 했는데 후에 1시간 후? 입천장에 이물감이 느껴졌고, 이상하게 여겨 보니까 수포같이 올라와 있었습니다.. 여러가지 알아보니까

헤르페스성 감염 (근데 입술말고 입천장만 수포)

단순자극

연쇄상구균

Hpv(잠복기때문에 가능성없음)

다른 세균이나 바이러스

피곤해서?

등 인거같은데, 일단 저는 이물감이 있고 통증은 딱히 없으며 열도 없구요. 입안에 입천장 저기 말고는 따로 난곳이 없습니다 입술주변도 없음.

하지만 목이 답답한 느낌이들게 부어있어요.

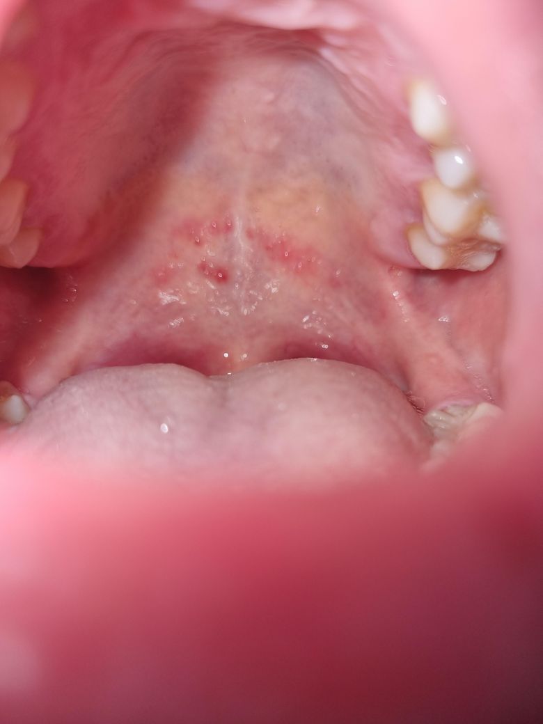
토요일 관계직후 발생~ 현재 화요일 이네요 ㅜ 이비인후과 가보니 잘 모르겠다 하셔서요, 조직검사하기엔 돈이 없어서 증상과 사진으로 대충 알아보고싶습니다 ㅜㅜ

  • 1번 째 사진
  • 2번 째 사진
3개의 답변이 있어요!
  • 안녕하세요. 송우식 치과의사입니다.

    단순 자극에 의한 외상성 상처로 보입니다. 그냥두면 3-4일 지나면 저절로 없어집니다. 다른 증상은 아닌 것으로 추정됩니다.

    1명 평가
  • 안녕하세요. 김철진 치과의사입니다.

    입천장이 뜨거운 음식이나 자극적인 음식등에 자극을 받아서 생긴거 같으니 최대한 추가적인 자극이 가지 않도록 해주시는게 좋을것같습니다.

  • 안녕하세요. 최석민 치과의사입니다.

    성병 감염과 관련된 수포일 수 있을 것 같습니다

    꼭 조직검사 안하더라도 구강내과 가보시면 잠정진단 가능할 것 같습니다